来源:宠壹堂VET
以下内容由宠壹堂老师乔莉敏提供,仅供交流、参考。如有疑问或想转发请与宠壹堂联系。

乔 莉 敏

(扫码了解乔莉敏参与的部分授课课程)
犬猫室间隔缺损(Ventricular Septal Defect, VSD) 是最常见的先天性心脏畸形之一,指胎儿期室间隔发育不全,导致左右心室之间出现异常通道,引发心内血液分流、血流动力学紊乱及后续心肺损伤,在犬类的发病率显著高于猫类。
01【发病机制与解剖分型】
(1)发病核心
室间隔由膜部室间隔和肌部室间隔组成,胚胎期二者融合不全是致病根源。由于左心室压力远高于右心室,血液会经缺损处左向右分流,导致肺循环血流量异常增加,肺动脉压力升高;长期分流会引发左心室容量负荷过重、肺动脉高压,最终可进展为艾森曼格综合征(分流方向逆转)。
(2)常见解剖分型

02【高发品种与临床症状】
(1)高发品种
犬:英国斗牛犬、波士顿梗、骑士查理王小猎犬、德国牧羊犬等纯种犬发病率高,小型犬更易出现大缺损。
猫:无明显品种倾向性,整体发病率低,多为散发病例。
(2)症状与缺损大小相关
① 小型缺损(直径<2mm):分流量小,心肺负荷无显著增加,多数犬猫终身无临床症状,仅在体检时听诊发现杂音。
② 中型至大型缺损:
幼龄期(2~6 月龄):运动不耐受、呼吸急促、生长迟缓,易反复发生呼吸道感染(肺淤血诱发)。
青年至成年期:随肺动脉高压进展,出现咳嗽、喘息、黏膜发绀(左向右分流为主时发绀不明显,分流逆转后加重);晚期发展为充血性心力衰竭,表现为腹水、胸腔积液、颈静脉怒张。
③ 艾森曼格综合征阶段:分流方向转为右向左,全身性发绀、红细胞增多症、血栓栓塞风险显著升高,预后极差。
03【体格检查】
特征典型体征为胸骨左缘第 3~4 肋间的全收缩期粗糙杂音,杂音强度与缺损大小正相关;小型缺损杂音更响亮,大型缺损因分流速度快,杂音反而可能减弱。合并肺动脉高压时,可闻及肺动脉瓣第二心音亢进。
04【诊断方法】
(1)影像学检查
① 胸部 X 线片:小型缺损无明显异常;中大型缺损可见左心房、左心室增大,肺动脉段突出,肺纹理增粗;肺动脉高压进展后,右心室开始增大,肺门血管扩张而外周血管变细(“截断” 征)。
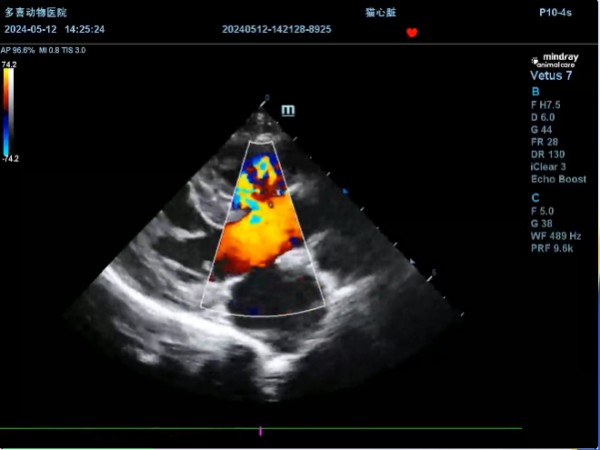
② 超声心动图:确诊金标准,通过二维超声可直接显示室间隔缺损的位置、大小;彩色多普勒超声可清晰观察分流方向与流速,同时评估心室壁厚度、肺动脉压力及瓣膜功能。

(视频内可见穿过室间隔出现红色血流,如图箭头所指,为靠近探头的方向,是左向右分流)

(视频内可见穿过室间隔出现马赛克血流,主要颜色也是红色,为靠近探头的方向,是左向右分流)
(2)实验室检查
① 血常规:合并呼吸道感染时白细胞升高;艾森曼格综合征阶段红细胞计数、血红蛋白浓度显著升高。
② 动脉血气分析:分流逆转后动脉血氧饱和度(SaO₂)<90%。
③ 心电图:左心室肥厚时表现为 R 波电压增高;肺动脉高压进展后出现右心室肥厚图形。
06【治疗方案与预后】
(1)保守治疗
适用于小型无症状缺损或无法耐受手术的病例:
定期监测(每 6~12 个月复查超声心动图),评估肺动脉压力变化。
出现心力衰竭时,使用利尿剂(呋塞米)、血管紧张素转换酶抑制剂(贝那普利)、正性肌力药物(匹莫苯丹)缓解症状。
严格限制剧烈运动,低盐饮食,预防呼吸道感染。
(2)手术治疗
核心目标是闭合缺损,阻断异常分流,最佳手术时机为3~6 月龄(心肺损伤未不可逆前):
① 介入封堵术:微创方法,通过血管穿刺将封堵器送至缺损位置释放,适用于膜周部、肌部的中小型缺损,具有创伤小、恢复快的优点。
② 开胸修补术:体外循环下直接缝合或补片修补缺损,适用于大型缺损、复杂分型或合并其他心脏畸形的病例,手术创伤较大,对术者技术要求高。
禁忌证:已进展为艾森曼格综合征的病例,手术会引发急性右心衰竭,严禁手术干预。
06【预后评估】
(1)小型缺损:预后良好,部分肌部缺损可在 1 岁内自行闭合,不影响寿命与生活质量。
(2)中型缺损:及时手术治疗后,5 年生存率可达 80% 以上,心肺功能可基本恢复正常。
(3)大型缺损或未及时治疗:多在 2~3 岁内进展为肺动脉高压或心力衰竭,预后差,生存时间显著缩短。
06【参考文献】
1.《BSAVA Manual of Canine and Feline Cardiology》(第 5 版),BSAVA 出版社,2021 年:详述室间隔缺损的解剖分型与手术指征。
2.《Small Animal Cardiology》(第 4 版),John D. Bonagura 主编,Elsevier 出版社,2019 年:收录犬猫 VSD 的超声心动图诊断标准与介入治疗案例。
3.《犬猫心脏病学》,张海泉、林德贵主译,中国农业出版社,2020 年:记载 VSD 的预后评估与术后护理要点。