来源:海正爱宠学苑
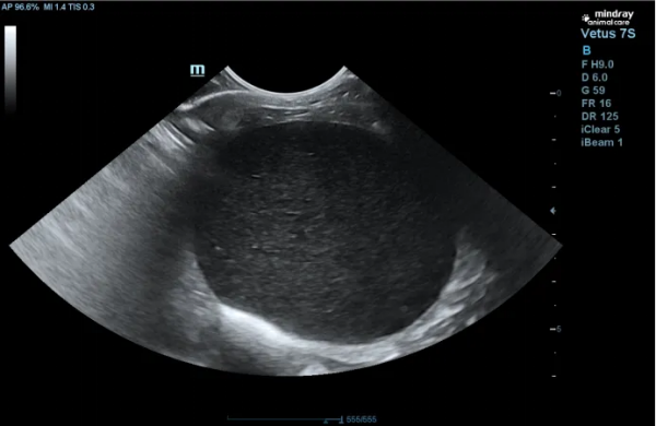
一、引言 猫下泌尿道综合征(Feline Lower Urinary Tract Disease,简称FLUTD)是一种常见的猫病,主要表现为猫出现尿频、尿急、尿道炎症等症状。这不仅会给猫带来疼痛和不适,还可能威胁到猫的生命安全。 FLUTD的发病原因复杂,可能与猫的饲养环境、饮食习惯、生理状况等多方面因素有关。一些可能造成FLUTD的风险因素包括:高镁、高蛋白饮食、缺水、缺乏运动等。情绪压力、尿道感染、膀胱结石等因素也可能引发FLUTD。 识别FLUTD的症状对及时治疗和预防疾病的进展至关重要。常见的FLUTD症状包括:频繁去猫砂盆、尿中带血、尿液颜色浑浊等。一旦发现猫出现以上症状,主人应及时就医,进行诊断和治疗。 了解FLUTD并且采取预防措施是非常重要的。通过合理的饮食管理、保持适当的水分摄入、定期检查和观察猫的排尿情况等方法,可以有效预防FLUTD的发生,保护猫咪健康。希望本文的内容能帮助更多的猫主人了解并识别FLUTD,及时治疗,减轻猫咪痛苦。 二、基本信息 蓝猫,年龄:1岁6月,公,绝育,疫苗完全,驱虫完全,体重:5.5kg 病史:2025年3月到2025年7月18日期间,该猫反复出现尿频、尿闭,共治疗过4次,近日主人又发现猫咪频繁去猫砂盆,但是未见尿液排出,精神状态萎靡,食欲减退。遂带来本院治疗。 三、检查项目及结果 体格检查:背毛粗糙,皮肤弹性尚可,未见脱水,黏膜皮肤颜色正常,瞳孔反射正常,步态正常,体温38.1℃,体重5.5kg,听诊心率心音正常,触诊体表淋巴结未见肿大,双肾大小基本一致。但在触诊至膀胱区域时,猫出现明显不适,膀胱充盈,坚实。视诊腹部未见明显膨大,生殖器红肿。 化验室检查: 血常规 结果:血常规检查结果无异常 2.生化检查 结果:生化结果显示,该猫肌酐和尿素氮指标显著升高。 3. B超检查 结果:B超扫查发现,膀胱充盈,膀胱壁欠光滑,腔内充满产回声内容物,提示膀胱内有泥沙样结晶。 四、诊断结果 综合上述检查结果,引起该猫出现尿闭的原因应为:膀胱内结晶引起的猫下泌尿道梗阻。 五、治疗方案及预后 治疗方案: 1、导尿:该猫膀胱充盈,无法自主排出尿液,故紧急进行导尿,并进行导尿管留置,方便后续观察尿液情况。 2、膀胱冲洗:该猫导尿后就办理了住院,因膀胱内大量结晶,为防止结晶再次阻塞尿道,遂每日采用温热的无菌生理盐水对该猫膀胱进行冲洗,减少膀胱内结晶。 3、输液治疗:该猫导尿后,精神有所恢复,有食欲,故在住院治疗期间,只选择使用了乳酸林格进行补液。 该猫入院48h后,情况稳定,精神食欲恢复,尿液颜色正常,遂拆除导尿管观察。第三天,观察到猫咪能够自主去猫砂盆排尿,尿量正常。主人也因费用问题,选择将猫咪接回家护理。 4、口服药:膀胱黏膜修复剂:冀苍蓝,每天2袋; 化结晶药物:尿石消每天1粒; 抗生素:克维舒干混悬剂:1ml/猫,BID 一周后主人带猫来复查,猫咪已经好转,在家排尿正常。又拿一周的尿石消和冀苍蓝进行巩固治疗。半月后该猫再次复诊,B超扫查发现膀胱恢复良好,主人拒绝血常规和生化检查。 六、讨论及小结 此病例为膀胱内结晶引起的猫下泌尿道梗阻,采用了导尿、膀胱冲洗,输液等常规治疗方案进行治疗后,此病例基本痊愈。复盘整个病例,发现几点不足:一是没有对尿液进行尿常规检查,缺乏对尿液性质的评估;第二,未对膀胱内结晶进行检查分析,不知道该猫咪膀胱内结晶为哪种类型的结晶,如果做了结晶分析,能够为后续选择药物和家庭饮食方案制定提供更有效的建议,降低复发率。第三,根据猫泌尿系统疾病指南,猫膀胱炎多为无菌性疾病,在此病例中,血常规结果亦无明显提示,故没有使用抗生素的必要。但在该病例中,我使用了阿莫西林克拉维酸钾进行治疗,是基于几点考虑:1、对该猫进行了导尿治疗,并留置了48h,为防止出现逆行性感染(指南中也指出导尿管留置会有30%的可能性出现逆行性感染),故使用抗生素进行了预防性治疗。2、使用抗生素前,曾对主人提及建议做药敏试验,但主人出于费用问题考虑,未接受建议。故在未做药敏试验的情况下,选择使用广谱抗生素阿莫西林克拉维酸钾。该猫喂药较为困难,所以选择适口性更好的克维舒干混悬剂进行口服,猫咪更易接受且不容易应激。 经过此次病例复盘,之后再遇到类似病例,会更全面的考虑问题,将尿液检查作为重要的检查项目,会更规范的进行操作,尽量避免在此类病例中使用抗生素,如需使用,也会在药敏试验结果指导下进行合理使用。 七、参考文献 [1]夏兆飞等主译\(美)RICHADW.NELSON等主编.小动物内科学(第三版)[M].北京: 中国农业大学出版社,2012:1015-1016,770-774. [2]小动物临床手册(第四版)/(美)RheaV.Morganz主编;施振声主译 [3]犬猫解剖学彩色图谱/StanleyH.DonePeterC.GoodySusanA.EvansNell C.Stickland著;林德贵、陈耀星主译。

