来源:海正爱宠学苑
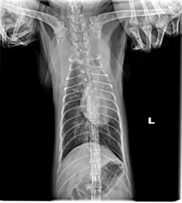
一、引言 猫咪肺炎根据发病快慢有急性肺炎和慢性肺炎之分,猫咪急性肺炎的症状主要表现为突然发高烧、呼吸不畅、腹泻等;慢性肺炎通常表现为长时间咳嗽、有痰、食欲下降、精神不振、呼吸不畅等。 猫咪如果患上肺炎就需要及时治疗,否则很容易引发相关的并发症,威胁到猫咪的性命。肺炎常见原因:感染性(细菌感染、病毒感染、寄生虫感染)、非感染性(吸入性、异物性、过敏性、继发性等) 二、病例基本信息及病史 2.1基本信息 一只缅因猫,雄性未绝育,体重5.85Kg,免疫不全,驱虫正常。 2.2主诉疾病史 最近几天精神良好,就诊当天发蔫,食欲不振,偶尔咳嗽,打喷嚏,4天前家里新领养一只小猫。既往病史 :疱疹病毒,杯状病毒,伯氏杆菌。 三、检查及化验项目和结果 3.1血常规检查 3.2 血清样淀粉蛋白检查 3.3生化检查 3.4fNT-PrOBNP猫N端脑钠肽前体 3.5影像学检查 四、诊断结果 肺炎;肺叶实变 五、治疗方案及预后 5.1经验性治疗 克维舒:一天两次,一次2ml; PO 麻杏石甘汤:一天两次,一5ml;PO 5.2复诊 用药2周后复诊,整体情况好转,咳嗽明显好转,喷嚏减少,分泌物减少,食欲恢复。炎症指标明显好转,肺部影像明显好转。 5.3复查结果 5.3.1血常规检查 5.3.2 血清样淀粉蛋白检查 5.3.3影像学检查 图4胸腔侧位 5.4治疗转归 巩固治疗:克维舒 一天两次,一次2ml,PO 该动物目前恢复良好,状态稳定,直至投稿前回访,一切正常。肺实变位置需密切监测,病变位置可能伴随终身。 六、讨论及小结 猫咪肺炎的发病原因一般是由细菌、真菌、病毒等微生物感染引起。甚至像寄生虫移行、外力因素、吸入性因素、机体免疫力下降等,都可诱发肺炎。严重的肺炎可能会导致肺部渗出增多、肺水肿等,引起急性呼吸困难。猫咪的肺炎在初期通常很隐蔽,甚至没有太大的症状和表现,发病非常突然,以精神沉郁、厌食、急性的呼吸困难为主,送医不及时容易耽误病情。该病例因为发现较早,治疗后整体预后良好。 肺炎的诊断:咳嗽的犬猫出现发烧、嗜睡、食欲不振或呼吸急促症状时应进行全面检查,血细胞计数和胸部X线检查评估是否存在肺炎。根据结果怀疑细菌性或支持细菌性肺炎的诊断时,应采集气管,支气管内或支气管肺泡灌洗进行细胞学检查,需氧培养、药敏实验和支原体培养。该病例未做相关检查,主人要求先对症治疗。 在开始抗菌治疗之前,都应该建议宠主进行培养和药敏实验,前提时动物状况足够稳定。但所有治疗检查应和宠主充分沟通,特别时需要长时间或管理时间比较长的病例,在治疗时应制定个性化治疗方案,将宠物主人的意愿,配合程度,可自由支配时间,动物配合程度都应纳入考量,从而提高治疗质量,护理质量以及医从性。 该病例综合考虑最终抗菌药物选用克维舒,一方面该病例未做培养及药敏,作为临床医生应选择一线广谱抗菌药物,安全性高的药物,从而提高治愈率。另一方面考虑到动物主人时间以及该猫吃药困难,克维舒易口服,操作简单,很大程度上减少猫咪应激,节省主人时间,同时增加了宠主成就感。从而提高了治愈率,也增加了宠主对医生的信任,所以最终选择了克维舒。 七、参考文献 1.Sykes, J. E. (2014).Feline lower respiratory tract disease. In J. E. Sykes (Ed.), Canine and Feline Infectious Diseases (pp. 161-173). 2.Reinero, C. R. (2011).Feline Asthma and Bronchopulmonary Disease. Veterinary Clinics of North America: Small Animal Practice, 41(2), 191–211. 3.Lappin, M. R., Blondeau, J., Boothe, D., Breitschwerdt, E. B., Guardabassi, L., Lloyd, D. H., ... & Sykes, J. E. (2017).Antimicrobial use Guidelines for Treatment of Respiratory Tract Disease in Dogs and Cats: Antimicrobial Guidelines Working Group of the International Society for Companion Animal Infectious Diseases. Journal of Veterinary Internal Medicine, 31(2), 279–294. 4.夏兆飞,陈艳云,王姜维主译.小动物内科学(第5版) [M].中国农业大学出版社,2019,11:297-300.







