来源:佘医生的细胞学
这是一只老年金毛犬,在外院检查发现肠道肿物和腹腔积液,对肿物和积液的细胞学检查怀疑淋巴瘤,建议开腹探查和肠道肿物切除。家长随后带患犬至本院进行会诊。该犬就诊时呼吸窘迫,结合先前的x光检查,怀疑存在大量胸腔积液。随后主治医生对其进行了胸腔超声的检查,检查发现大量的胸腔积液,抽取共计1500ml的积液,缓解呼吸后进行积液的化验。胸腔积液离心前为淡黄色,颜色均匀(图1)。

图1:胸腔积液,呈现淡黄色
使用1500转/分钟的转速进行离心,离心3分钟后,积液上层为淡黄色,下层呈现粉色(图2)。移除上层清液后,抽取沉渣进行细胞学制片。

图2:上层清液为淡黄色,下层为粉色
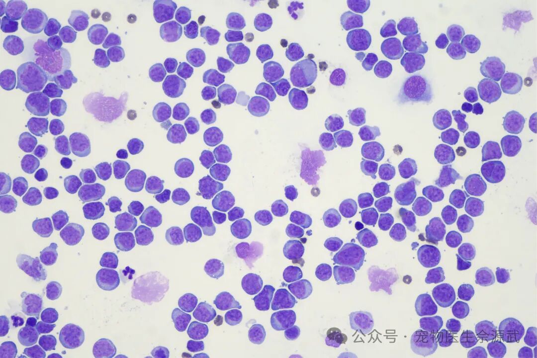
Diff-quik染色后进行细胞学判读(图3-6)。细胞学可见大量的圆形有核细胞,细胞的核质比高,细胞核为圆形、椭圆形至不规则型,细胞核位于细胞的一侧。少至中量的细胞质呈深度嗜碱性着染。多处可见有丝分裂像。这些细胞符合淋巴细胞的表现,与红细胞对比,大部分淋巴细胞的直径为红细胞的2倍以上,归类为淋巴母细胞。细胞学符合淋巴瘤性的肿瘤积液。

图3:积液细胞学检查(Diff-quik染色;40x物镜)

图4:积液细胞学检查(Diff-quik染色;40x物镜)
图5:积液细胞学检查(Diff-quik染色;40x物镜)

图6:积液细胞学检查(Diff-quik染色;40x物镜)
建议对肠道肿物和腹腔积液进行化验和检查。该病例结合其他的检查结果,诊断为肠道淋巴母细胞性淋巴瘤,并且出现了胸腔和腹腔的扩散。随后送检细胞学进行PARR检查,并建议对该病例进行化学治疗,预后不良。