来源:宠壹堂VET
以下内容由宠壹堂老师郭佳琦提供,仅供交流、参考。如有疑问或想转发请与宠壹堂联系。

郭 佳 琦


(扫码了解郭老师参与的授课课程)
01【定义】
胆囊粘液囊肿是一种严重的胆囊疾病,其特征是胆囊腔内积聚了异常浓稠、粘液样的胆汁,导致胆囊扩张,并最终可能引发胆囊破裂、危及生命的胆汁性腹膜炎。
犬vs猫:这是犬类相对常见的胆囊疾病,而在猫中极为罕见。
它不是单纯的“囊肿”,而是一种分泌-功能障碍性疾病。胆囊粘膜过度分泌粘液,同时胆囊收缩排空能力下降,导致粘液和胆汁淤积。
最大的危险在于胆囊缺血、坏死和破裂,死亡率高。
02【病因】
(1)胆囊代谢性疾病:是当前主流理论。与胆囊粘膜的代谢异常、炎症反应有关。
(2)内分泌疾病:常与库欣病(肾上腺皮质功能亢进)和甲状腺功能减退并发。这些疾病可能影响胆囊运动功能和胆汁成分。
(3)高脂血症:血脂异常是已知的重要风险因素。
(4)胆道梗阻:部分病例可能与胆管部分阻塞有关,但通常不是主要原因。
(5)品种倾向性:
雪纳瑞(尤其是迷你雪纳瑞)风险最高。
其他易感品种:喜乐蒂牧羊犬、可卡犬、边牧、查理士王小猎犬等。
03【临床症状】
症状可从无到严重,变化很大:
(1)早期/慢性期:可能无症状,或仅表现为嗜睡、食欲不振、间歇性呕吐、腹泻。
(2)急性/危重期:当发生胆囊炎、胆管炎或胆囊即将破裂时,会出现:
严重呕吐、腹痛、发烧或体温过低、黄疸、休克。
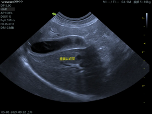
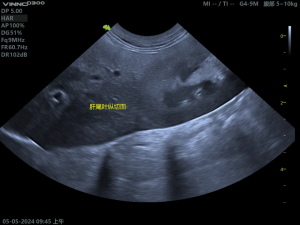
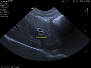
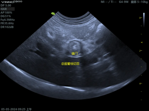
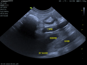
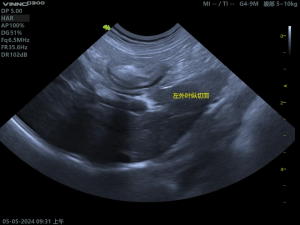
04【超声下表现】
(1)正常肝脏影像






(2)胆囊粘液囊肿影像

05【诊断】
(1)腹部超声检查——诊断的金标准:
胆囊内呈现“猕猴桃征”或“星芒状”的回声。胆囊壁增厚、胆泥淤积、可评估胆囊是否破裂。
(2)血液检查:
常显示肝酶升高(ALP, GGT显著升高)、高胆红素血症(黄疸)。
可能发现高胆固醇、高甘油三酯。
需筛查内分泌疾病(如库欣病)。
06【治疗】
手术是唯一能治愈的方法,尤其对于有症状或超声提示高危的病例。
(1)手术治疗:
胆囊切除术:切除整个胆囊。这是标准治疗方案。
胆总管冲洗:同时探查并冲洗总胆管,确保其通畅。
腹腔冲洗:若已发生破裂,需进行大量温生理盐水冲洗腹腔。
(2)药物治疗:
仅适用于无症状、偶然发现、且超声显示风险较低的早期病例,或作为术前稳定措施。
(3)药物(如熊去氧胆酸等)。
抗生素:控制可能的感染。
药物治疗需要密切监测(每4-8周复查超声),许多病例最终仍会进展并需要手术。
07【预后】
(1)及时手术:若在破裂前进行胆囊切除术,预后通常良好至极佳。
(2)胆囊已破裂:预后谨慎至不良,死亡率显著升高,取决于手术时机和全身感染的控制情况。
(3)术后:大多数犬在胆囊切除后生活质量很好。
08【参考文献】
Mattoon, J. S., Sellon, R. K., & Berry, C. R. (2020). Small animal diagnostic ultrasound (4th ed.). Elsevier Saunders.
Ettinger, S. J., & Feldman, E. C. (2021). Textbook of Veterinary Internal Medicine (9th ed.). Elsevier Saunders.
Center, S. A., & Summers, B. A. (2008). Hepatocellular carcinoma in dogs and cats: 102 cases (1995–2005). Journal of the American Veterinary Medical Association, 232(11), 1655 - 1661.
Williams, D. A., & Dobson, J. M. (2013). Cholangiocarcinoma in small animals: A review of 45 cases. Veterinary Pathology, 50(3), 521 - 528.
Vail, D. M., & Thamm, D. H. (2018). Chemotherapy for hepatic tumors in dogs and cats. Veterinary Clinics of North America: Small Animal Practice, 48(2), 389 - 405.
Meuten, D. J. (2017). Tumors of the liver and biliary tract. In Meuten's Tumors in Domestic Animals (6th ed., pp. 456 - 478). Wiley - Blackwell.
Thompson, K. G. (2020). Hepatic neoplasia: Diagnosis and surgical management. In Small Animal Surgery (5th ed., pp. 762 - 775). Saunders Elsevier.
美国兽医肿瘤学会(VCS). (2021). Clinical Practice Guidelines for the Diagnosis and Treatment of Hepatic Tumors in Dogs and Cats. Veterinary Cancer Society.
欧洲小动物兽医师协会(ESAVS). (2022). ESAVS Consensus Statement on Hepatobiliary Tumors in Small Animals.
09【限时福利】
