来源:海正爱宠学苑
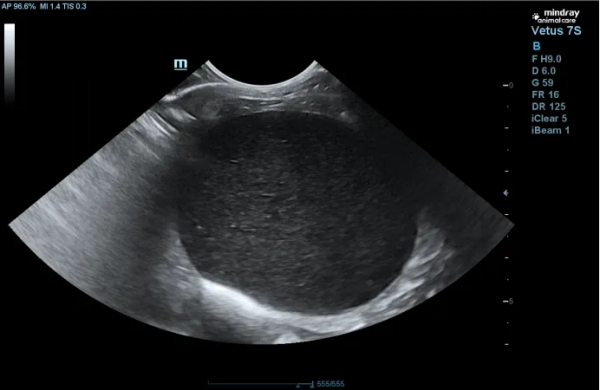
一、引言 猫痤疮是猫下颌、嘴唇部位一种常见的毛囊角质化疾病,本质是毛囊角化异常,导致粉刺(黑头)形成。轻度病例可能仅影响美观,但可继发细菌感染,发展为毛囊炎、疖病,甚至蜂窝织炎。治疗需根据严重程度分级进行,核心是局部清洁、角质溶解和控制感染。预后良好,但易复发,常需长期护理。本文报告一例9岁雄性已去势英国短毛猫因严重下颌皮肤病就诊的病例。患猫表现为严重的下颌皮肤的蜂窝织炎、食欲减退及精神沉郁。通过临床检查、细胞学及炎症指标检测,确诊为猫痤疮伴发严重的蜂窝织炎。治疗采用局部清创消毒、药用香波清洁、外用抗菌药膏,并联合系统性抗生素(阿莫西林克拉维酸钾)及情绪安抚药物进行综合管理。经过两周治疗,患猫临床症状完全缓解。本病例强调了猫痤疮继发感染时的综合诊疗思路,强调了猫痤疮的治疗总原则:局部清洁、溶解角质、控制继发感染。 二、基本信息 动物:9岁,雄性已去势,英国短毛猫,体重4.8公斤。 生活史:免疫驱虫完全,定期(每三月一次)洗澡。 主诉:近期出现频繁抓挠下巴及颈部行为,导致该部位皮肤破损出血,伴随食欲欠佳、活动量减少。 既往史:无相关病史记录。 三、检查项目及结果 挤压病变处分泌物涂片,进行染色镜检。可见大量退行性嗜中性粒细胞和巨噬细胞 皮肤刮片检查:未见寄生虫 血检:WBC:28.7; Neu:13.06;SAA:67.83; 结果:B超扫查发现,膀胱充盈,膀胱壁欠光滑,腔内充满产回声内容物,提示膀胱内有泥沙样结晶。 四、诊断结果 病史与临床检查:根据特征性的发病部位(下颌)和临床症状(粉刺、丘疹等),通常可做出初步诊断为猫痤疮。病因待进一步确认。 五、治疗方案及预后 剪短患处毛发,注意不是剃毛以防进一步的毛囊应力损伤,给患处消毒,每周1-2次用泡泡爽宠物清洗剂清洁,每日涂抹抑菌膏,口服阿莫西林克拉维酸钾干混悬剂(克维舒),每次1ml,一日两次;配戴脖圈,防止抓挠,每日两次宠物情绪调节营养补充剂(舒欣宝)每次1条缓解瘙痒情绪,治疗2周病变处症状显著改善。继续使用一周抗生素。 清洁后的照片 治疗第一周的照片 治疗第二周,痊愈照片 六、讨论及小结 猫痤疮为猫常见的一种皮肤病,为下颌组织及腺体的囊泡性角化及腺体增生,此病例为中重度的猫痤疮,继发细菌感染,引起毛囊炎、疖病。表现为疼痛性肿胀、囊肿、瘘管,按压有脓血排出。除了局部清洁用药外,同时使用抗生素治疗控制继发感染,并使用情绪舒缓产品辅助治疗,本次治疗我们选用了更适宜猫咪的口服抗生素与情绪舒缓产品。首要考量是避免因强制喂药牵扯下颌,引发额外疼痛;同时,我们也希望借助更易喂服的口服片剂,来降低宝贝的紧张感,从治疗本身提升它的就医体验。 阿莫西林和克拉维酸钾(克维舒)适应证:犬用于治疗犬由产β-内酰胺酶的金黄色葡萄球菌,不产β-内酰胺酶的金黄色葡萄球菌,葡萄球菌属,链球菌属和大肠杆菌引起的皮肤和软组织感染,如创伤、脓肿、蜂窝织炎、浅表性/幼年性和深层脓皮病;由需氧和厌氧敏感菌引起的牙周感染。猫:用于治疗猫由产β-内酰胺酶的金黄色葡萄球菌,不产β-内酰胺酶的金黄色葡萄球菌,葡萄球菌属,链球菌属,大肠杆菌,多杀性巴氏杆菌和巴氏杆菌属引起的皮肤和软组织感染,如创伤、脓肿、蜂窝织炎。 进一步探讨关于猫痤疮难治性或慢性病例的考虑 对于常规治疗无效的病例,可考虑以下方案: 维生素A:口服维生素A或外用维A酸软膏(Retin-A)。注意:维A酸对猫刺激性大,需非常谨慎使用,且价格昂贵。 全身性糖皮质激素:如果瘙痒和炎症非常严重,可短期口服泼尼松龙片(1-2 mg/kg,每日一次,症状控制后迅速减量),以打破瘙痒-感染的恶性循环。但需谨慎使用。 排查潜在病因:如果痤疮反复发作或治疗效果不佳,应深入排查是否存在食物过敏、过敏性皮炎等潜在问题。 预后:通常预后良好。但猫痤疮是一种慢性、易复发的疾病,很多病例需要终生间歇性的对症治疗和护理。 给主人的建议: 1. 坚持日常护理:症状缓解后,仍需定期使用药用香波清洗下颌(如每周1次),作为预防。 2. 使用陶瓷或不锈钢食盆:避免使用塑料食盆,因其表面易刮擦藏匿细菌。 3. 保持清洁:饭后擦拭猫的下颌,保持该区域干燥清洁。 4. 避免刺激:切勿用手挤压粉刺,这会加重炎症和感染。 5. 遵从医嘱:如果医生开了抗生素,务必完成整个疗程,不可自行停药。 七、参考文献 《猫病学》 第5版 《小动物皮肤病学》 第7版




