登录 注册 

欢迎光临维宠宠物导航网!

维宠宠物导航网

153-2012-0258

Human resources
人力+

病例 您的位置:首页 > 人力+ > 病例

【TPLO病例分享】博美左后肢前十字韧带断裂|东北农业大学迟新宇医生

2025-11-26 3200 返回列表

来源:宠多助Migoovet

病例介绍

博美小乖,雌性,5.7kg,2岁

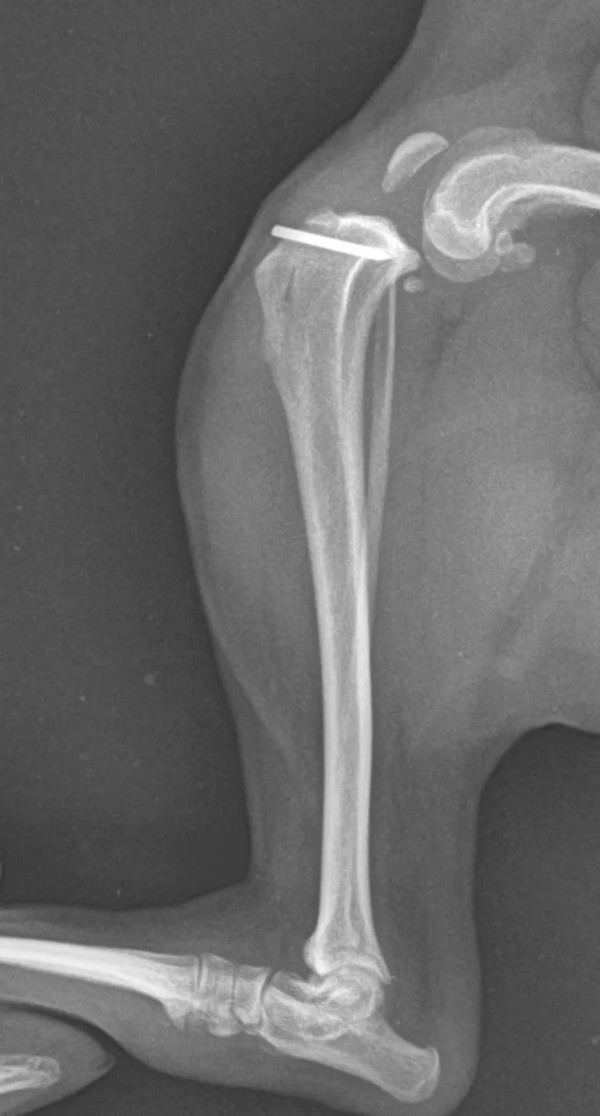
左后肢跛行一个月,有髌骨脱位病史并进行过胫骨粗隆移位手术。就诊时查体发现左后肢抽屉试验阳性,胫骨压缩试验阳性。

DR:膝关节加压,胫骨前倾。

确诊为左后肢前十字韧带断裂,进行TPLO手术治疗。

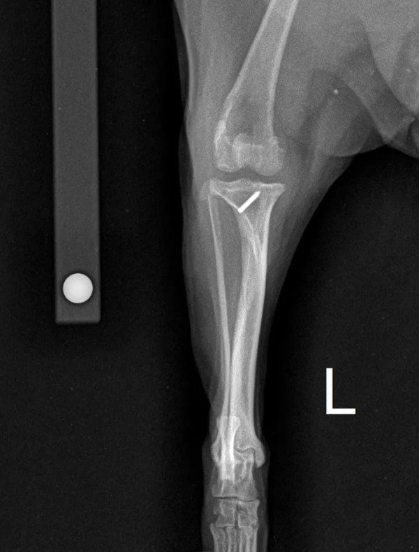
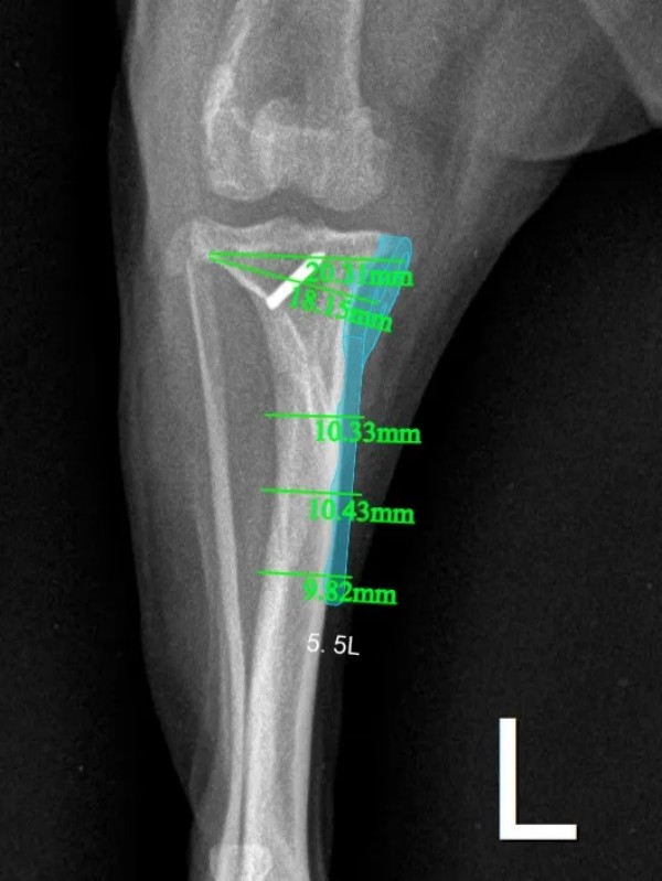
选用2.0型号宠多助TPLO-L骨板,术前TPA=30角°,应用10mm锯片,移动距离4.5mm

手术顺利完成,望早日康复!

宠物照片
术前X光片

术前规划
术中照片
术后X光片

术后1周视频
Migoovet宠多助

医生介绍
宠多助TPLO产品介绍


你觉得这篇文章怎么样?

00

二维码
维宠宠物导航网 电话:153-2012-0258 电话:155-0222-3953 邮箱:594036387@qq.com 地址:天津滨海新区烟台道15号办公楼5-506室

天津维宠网络科技有限公司 版权所有 © 2019 Inc.

 津ICP备19008835号 技术支持 网站地图