来源:海正爱宠学苑
一、引言
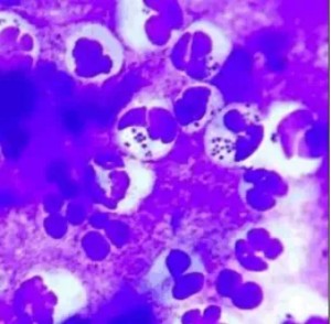
犬浅表脓皮症,也称为浅表细菌性毛囊炎,是犬最常见的皮肤病之一。它是指细菌(主要是葡萄球菌)感染了毛囊及其附近的表皮,但未突破基底膜进入真皮。几乎总是继发性疾病:脓皮症本身很少是“原发病”。它通常是另一个潜在问题(如过敏、内分泌病)破坏了皮肤的正常防御机制后,继发细菌过度增殖所致。本报告旨在通过一例具体病例,深入探讨犬浅表脓皮症的诊断、治疗及预防措施,为临床提供参考。 二、病例基本信息及病史 患者信息:2岁雄性未去势泰迪犬。 主诉:背部、臀部及腹部皮肤出现丘疹、红斑、表皮环及脱毛,伴显著瘙痒两周。 病史:患者两周前开始出现上述症状,瘙痒评分为4分。期间,宠主自行使用皮特芬喷剂及网购药浴产品治疗,未见好转。免疫驱虫程序完整,家中无其他宠物,食欲尚可,近期未更换粮食。 三、检查及化验项目和结果 临床检查: 体表检查:背部、臀部及腹部皮肤可见明显丘疹脓疱病变,伴有脱毛和表皮环形成。 瘙痒评估:采用标准化瘙痒评分量表,评分为4分。 实验室检查: 皮肤刮片镜检:取病变皮肤样本进行刮片,实验室镜检未见寄生虫。 细胞学检查:细胞学涂片显示大量退行性嗜中性粒细胞、角质细胞及大量球菌,观察到细胞吞噬细菌现象。 四、诊断结果 综合病史、临床检查及实验室检查结果,初步诊断为犬浅表脓皮症,考虑第一次发作,未深究潜在病因。 五、治疗方案及预后 治疗方案: 1. 全身抗生素治疗:口服海泊舒(头孢泊肟酯咀嚼片)10mg/kg,每日一次,连用7天,以控制细菌感染。考虑到喂药过程可能存在困难,且宠主的日常时间安排较为紧张,因此在选择抗生素时,需要特别关注药物的适口性与给药频率,以帮助提高治疗的依从性。 2. 局部治疗:使用奥兹洁护剂(含燕麦多酚抗氧化物),每日三次,患处涂抹,以减轻炎症、促进皮肤修复。 3.皮肤屏障修复:口服必须脂肪酸(含Ω3及Ω6),促进皮肤屏障功能的恢复。 4. 饮食调整:逐渐将粮食换为低过敏处方粮,减少潜在过敏原的摄入。 5.持续驱虫:跟宠主强调了完整驱虫的重要性,每月一次严格驱虫 预后及随访: 首次复诊:治疗一周后复诊,皮肤病变明显改善,丘疹及红斑减少,瘙痒减轻。医嘱继续口服海泊舒一周,外用药物不变。 第二次复诊:一周后再次复诊,皮肤状况显著好转,临床症状基本消失。继续口服头孢泊肟酯咀嚼片巩固治疗3天,随后停药。 长期随访:后期回访确认患者已完全恢复,无复发迹象。本病例后续待持续追踪。 1.抗菌治疗的重要性 抗菌治疗是犬浅表脓皮症管理的核心环节。本例中,基于细胞学检查发现的革兰氏阳性球菌,选择了针对该类细菌敏感的海泊舒(头孢泊肟酯咀嚼片)作为抗生素,有效控制了感染。 2.宠主依从性的关键作用 皮肤病治疗过程中,宠主的依从性对疾病恢复至关重要。本例中,选择了适口性好、给药方便的抗生素(头孢泊肟酯咀嚼片),显著提高了宠主的用药依从性,从而保证了治疗效果。(与该宠主沟通药浴方案并无实施可能,其他案例需要优先考虑外用方案) 3.综合治疗策略 本例采用全身与局部治疗相结合的综合策略,不仅控制了细菌感染,还促进了皮肤屏障的修复,同时通过饮食调整减少了潜在食物过敏原的刺激,全面促进了患者的康复。 综上所述,本例犬浅表脓皮症的成功治疗,得益于准确的诊断、合理的治疗方案以及宠主的高度依从性。未来临床工作中,应继续强调综合治疗的重要性,提高皮肤病的治疗效果。并做好长期的跟踪回访,犬浅表脓皮症很少是原发病,“几乎总是”继发问题。




