来源;东西部小动物临床兽医师大会
摘要
本文描述了使用螺旋单层计算机断层扫描(CT)装置获得的10只犬(9例完全扭转,1例部分扭转)肺叶扭转的影像学特征。比较了静脉注射造影剂前后正常、扭转及邻近塌陷肺叶的衰减值。受累肺叶为:左前叶(5例)、右中叶(3例)、右前叶(1例)和左后叶(1例)。9只完全肺叶扭转犬的CT表现包括胸腔积液和支气管突然中断。其中8只犬出现受累肺叶增大、实变、肺气肿以及纵隔向对侧移位。扭转肺叶未见强化,而邻近塌陷和含气的肺叶则出现强化(P < 0.05)。通过过度通气或屏息诱导的呼吸暂停对于减少运动伪影和获得诊断性研究至关重要。
关键词: 计算机断层扫描,犬,肺叶扭转
引言
肺叶扭转(LUNG LOBE TORSION)是犬的一种罕见疾病,其特征是一个肺叶围绕其蒂部发生旋转,导致气道阻塞和血管性高血压。它可以是自发性的,也可以是创伤、胸腔积液或肺叶切除术的并发症。肺扭转若未及时纠正,会导致显著的发病率和死亡率。因此,早期准确诊断该病并与其他具有相似症状但无需手术的疾病进行鉴别至关重要。由于临床症状、血液学数据和胸腔积液的细胞学检查对肺叶扭转均无特异性,影像学检查在诊断中至关重要。尽管肺叶扭转的X线和超声特征已有描述,但通过这些方法获得准确诊断可能很困难。
在人类中,计算机断层扫描(CT)已成为评估肺实质和胸腔结构最有价值的工具,并且CT在评估犬胸部疾病中的应用日益频繁。本研究的目的是描述犬肺叶扭转的CT方案和影像学表现。
材料与方法
检索宾夕法尼亚大学、威斯康星大学麦迪逊分校兽医学院以及Clinica Veterinaria dell’Orologio在2000年至2007年间的医疗记录,查找确诊为肺叶扭转的犬。仅纳入手术前24小时内进行过CT检查的犬。
共识别出10只犬。中位年龄为6岁(范围9个月至10岁)。品种包括:巴哥犬(2只),杰克罗素梗、秋田犬、阿富汗猎犬、俄罗斯猎狼犬、英国斗牛犬、比格犬、伯恩山犬和混种犬各1只。
犬在仰卧位或俯卧位下使用单层第三代螺旋CT装置(ProSpeed 和 HiSpeed Lxi, General Electrics, Milwaukee, WI)进行扫描。扫描前通过过度通气使患者获得呼气末屏息,扫描方向为尾侧向头侧。最常用的方案(用于10只犬中的8只)包括一次螺旋CT扫描序列,使用2-7 mm准直,螺距在1-2之间,采用软组织的中频图像重建算法(专有术语“detail”)。重建间隔与准直相同。在这8只犬中,经头静脉手动注射碘化造影剂(Hypaque-76®, Nycomed Inc., Princeton, NJ),剂量为700 mg碘/kg体重,注射造影剂后1-2分钟获取造影后图像序列。在7只犬中,还获取了高分辨率横断CT成像序列,准直为1 mm,床进1-5 mm,使用边缘增强和高频图像重建算法(专有术语“bone”)。在大型犬中,要么使用较大的床进(5 mm)以便在呼气暂停期间覆盖整个胸腔,要么将扫描范围限制在心基上方区域。另外两只犬,一只仅在造影剂给药后进行了一次螺旋成像序列,另一只仅获取了造影前横断图像。
回顾性分析影像方案的图像细节、运动伪影和重建图像质量。所有图像由一名委员会认证的放射科医师(G.S.)进行回顾性审查,评估扭转肺叶内的变化、剩余肺内的变化以及胸腔内的其他变化。特别使用不同平面的重建图像评估支气管解剖结构。此外,还进行了桨轮重建(paddle wheel reconstructions),围绕支气管分叉点旋转重建平面,以评估支气管树的走行(图1)。
在7只完全肺叶扭转的犬中,使用大小为150–400 mm的兴趣区域(ROI),在静脉注射(IV)造影剂前后测量扭转肺组织的亨氏单位(HU)衰减值。ROI在造影前和造影后图像中的位置相同。ROI放置在三个不同的肺叶上:一个正常、通气良好的肺叶;扭转的肺叶;以及如果存在,邻近的一个塌陷肺叶。在扭转的肺叶中,测量了三个不同切片的ROI,以确保包含更多实变区域和更多肺气肿区域。在扭转肺叶中测量的所有三个ROI均在造影剂给药前后分别进行比较(而不是取三个的平均值)。
使用配对Student’s t检验(MEDCALC version 9.3.9.0, Mariakerke, Belgium)比较静脉注射造影剂前后的图像差异。显著性水平设定为P<0.05。

图1. 一只患有右前肺叶扭转的2岁巴哥犬桨轮重建计算机断层扫描(CT)影像。从横断面(左上图)开始,沿支气管分叉处(左上至右下方向)进行多平面重组。所有支气管清晰可辨:a. 左前叶支气管;b. 左后叶支气管;c. 右后叶支气管;d. 副叶支气管;e. 塌陷的右中叶支气管;f. 通向扭转右前肺叶的极短盲端支气管。
结果
九只犬发生完全肺叶扭转。受累肺叶为:左前叶(5只犬:阿富汗猎犬、俄罗斯猎狼犬、英国斗牛犬、伯恩山犬、巴哥犬),右中叶(2只:杰克罗素梗、比格犬),右前叶(1只:巴哥犬)和左后叶(1只犬:秋田犬)。一只犬(混种犬)在手术中确诊为右中叶部分(180°)扭转。完全肺叶扭转犬的CT表现总结于表1。所有完全肺叶扭转犬均存在胸腔积液。其中6只犬为弥漫性积液,3只犬为病变肺叶周围局灶性积液。所有犬均存在的另一个CT表现是病变肺叶的支气管突然中断。在三只犬中可见支气管扭转(图2)。在一些犬中,支气管在管腔完全闭塞前逐渐变细。另一个常见表现(见于9只犬中的8只)是扭转肺叶的衰减值增加伴肺气肿区域(图3)。受累肺叶在9只犬中的8只增大(图3)。在未受累肺叶中未见任何扭转肺叶中所见的改变。在4只犬中可见移位肺叶中支气管的偏离,在2只犬中支气管受压(图4)。在5只犬中可见受累肺叶位置异常(图5),在1例患者中仅见该肺叶内血管走行异常(在静脉注射造影剂后可见)。三只犬出现气胸(图5),一只犬有纵隔淋巴结病。

图2. 一只8岁阿富汗猎犬左前叶肺扭转的胸部背侧重建计算机断层扫描(CT)图像。通向左前叶的支气管突然中断(箭头),而更远端的节段再次充满气体并扩张,使支气管呈现扭曲的外观。

图3. 一只8岁杰克罗素梗犬在静脉注射造影剂后,因右中叶扭转的胸部横断计算机断层扫描(CT)图像。该肺叶增大并包含滞留气体(箭头)。心脏轮廓向左移位。右前叶向背侧移位并受压。

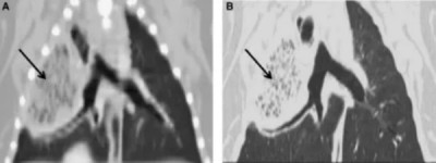
图 4. (A) 和 (B): 一只2岁巴哥犬右前叶扭转的胸部背侧重建计算机断层扫描(CT)图像。显示了使用细节算法的螺旋3 mm层厚图像(A)和使用骨算法及边缘增强的高分辨率横断1 mm层厚图像(B)。肺叶增大并包含滞留气体。通向右后叶的支气管移位并围绕增大的前叶弯曲(箭头)。右中叶塌陷并向内侧移位,在此图像上不可见。

图 5. 一只患右中叶扭转的比格犬的横断高分辨率计算机断层扫描(CT)图像。肺叶尖端指向背外侧方向(箭头),表明肺叶移位和旋转。气胸和轻度胸腔积液也可见。
患有右中叶部分扭转的犬仅表现为受累肺叶的肺不张,但支气管位置和气体含量正常(图6)。该犬也存在胸腔积液和气胸。

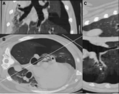
图 6. 一只6岁混种犬患有右中叶部分扭转。背侧重建CT图像(A),左侧卧位横断图像(B)以及图6B所示平面的斜位重建图像(C)。右中叶(*)塌陷,支气管弯曲,但在重建图像中整个支气管可见且充满气体。
正常充气肺叶和塌陷但未扭转肺叶的造影剂强化分别对应于平均衰减值增加56.7和87.4 HU,而扭转肺叶的平均强化仅对应平均衰减值增加5.1 HU。造影剂注射后,扭转肺叶的强化无统计学意义(P=0.12),而邻近塌陷肺叶(P<0.01)和正常充气肺叶(P<0.01)的强化具有统计学显著意义。 患有部分扭转的肺叶衰减值差异为58 HU,类似于正常或塌陷肺叶测得的强化值。
表 1. 九只完全肺叶扭转犬的CT表现
扭转肺叶 | 其他肺叶 | 胸腔 | |||
表现 | n | 表现 | n | 表现 | n |
支气管突然中断 | 9 | 肺叶受压 | 8 | 纵隔移位 | 8 |
增大 | 8 | 移位 | 6 | 弥漫性胸腔积液 | 6 |
实变 | 8 | 支气管偏离 | 4 | 气胸 | 3 |
肺气肿 | 8 | 支气管受压 | 2 | 局灶性胸腔积液 | 3 |
位置异常 | 5 | 纵隔淋巴结病 | 1 | ||
支气管扭转 | 3 | ||||
血管走行异常 | 2 | ||||
讨论
我们确定了犬肺叶扭转的一系列有趣的CT特征,包括胸腔积液、单个肺叶不强化、增大伴位置异常、肺气肿以及肺叶支气管突然中断(表1)。
肺叶扭转相关胸腔积液的病理生理学是双重的。扭转导致肺静脉高压和淋巴引流减少,两者均可导致胸腔积液。胸腔积液通常是肺叶扭转患者X线解读无特异性的原因,而在CT图像中,积液并不构成限制。肺静脉高压也导致受累肺叶增大,并伴随肺气肿的发展,这在本次系列的8只犬中观察到。支气管撕裂伴单向活瓣效应可能是肺气肿形成和气胸的原因。支持产气细菌导致肺叶气肿假说的证据较少。气胸也可能是医源性的,由胸腔穿刺术引起。回顾来看,本研究中的犬无法确定气胸的原因。
在所有犬中观察到含气支气管管腔突然中断,在9只犬中的5只同时观察到扭转肺叶及其支气管血管结构的位置异常。这被认为是支持肺叶扭转的有力论据。支气管含气管腔突然中断也可能由肿瘤性病变引起
或其他压迫性或浸润性支气管周围疾病引起。然而,与肺叶扭转不同的是,这些疾病通常没有血管受压,因此在造影剂给药后会出现一定程度的强化。这与我们的发现一致,即完全扭转的肺叶没有任何显著的造影剂强化,而邻近的肺不张或含气肺叶则有强化。缺乏造影剂强化也可见于肺的其他坏死性、囊性或血栓栓塞性疾病。然而,在这些情况下通常仅影响肺叶的部分区域。在肺叶扭转早期或不完全扭转时,动脉血供可能仍然保留,因此造影剂强化的存在并不能完全排除肺叶扭转。在造影剂注射后的动脉期立即成像可能更好地观察到动脉血供的存在。
获得了几项技术观察结果。心脏运动未引起主要的运动伪影。过度通气诱导的屏息足以在大多数犬中获得无运动伪影的扫描。使用尾侧向头侧的扫描方向具有优势,即如果患者在扫描期间开始呼吸,则首先扫描呼吸运动幅度最大的胸腔部分。
使用的螺距在推荐的1-2范围内理想情况下,螺距应约为1.4,以实现图像质量和扫描速度之间的最佳折衷。 然而,更高的扫描速度也增加了在呼吸暂停期间覆盖大面积区域的机会,从而也有助于提高图像质量。在一些患者中,使用了高分辨率CT(1 mm层宽,高频图像重建算法,附加边缘增强,高mA和最低的球管旋转时间设置)。这些图像在主观上提供了肺实质和支气管的最佳整体评估。这种薄层技术的缺点是,在诱导的30-40秒呼吸暂停期间只能覆盖一个小区域。组合使用两次覆盖整个胸腔的厚层螺旋序列(造影前和造影后)以及一次限制在心基上方区域的薄层高分辨率CT序列,可能最成功地获得整个胸腔的无运动伪影图像以及肺门区肺叶支气管的最大解剖细节。
尤其对于评估支气管的位置、走向和管径而言,多平面图像重组技术具有重要价值。桨轮重建法以支气管分叉处为旋转中心进行重建平面旋转,该技术专为优化大气道及大血管自然走行的评估而开发。由于旋转中心位于支气管分叉点,中央大气道结构在连续图像中清晰呈现,可被视觉追踪至肺外周区域(图1)。主观评估表明,当原始序列采用薄层厚、连续轴位扫描层间距或低螺旋螺距采集时,重组图像的诊断效用最为显著。