病例信息
一只2y雄性未绝育混合梗右会阴背侧区域一周前出现一不明确,柔软、波动的皮下团块,约10x8cm,充满液体,无痛,主人反馈无行为、排便或排尿异常,无已知的身体创伤。其他相关病史包括先前诊断为先天性肾发育不良,伴有 稳定的蛋白尿和氮质血症,超声检查证实肿块内充满液体,但无法确定是否与腹腔相通。通过细针抽吸从会阴肿胀处抽取约20ml液体,并进行细胞学评估(图1和图2)


图2.瑞姬,50x
细胞学解释:非典型上皮细胞,与肿瘤相关
直接涂片细胞量中等,包括混合的白细胞和大的非典型细胞,在浅粉红色的背景上单独或以小簇的形式出现,伴有适量的血液。
非典型细胞呈圆形至多边形,细胞边界清晰,细胞核圆形至卵圆形,染色质细,细胞质中蓝色至深蓝。偶见细胞含有大小不一的亮粉色圆形或椭圆形内容物,使细胞核移位(图2A-C)。
细胞表现为中度的大小不一和细胞核大小不等。偶见双核和多核细胞,及罕见的核破裂。
偶见含有非特异性吞噬碎片和/或透明空泡的巨噬细胞组成,以及少量非变性中性粒细胞和小淋巴细胞。大的非典型聚集细胞与上皮细胞或间皮细胞一致(尽管间皮细胞中不常见大的嗜酸性细胞质包涵体)。
结合病变位置和外观特点,非典型细胞被解释为恶性肿瘤。
鉴别诊断包括先天性囊肿或会阴疝(尽管后者被认为不太可能,因为没有发现与腹腔的联系)。
其他结果
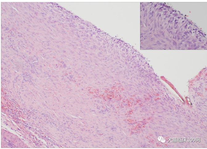
全腹超声检查显示慢性肾病和囊性前列腺增生,但充满液体的肿物和腹部无关。前列腺冲洗样本未检测到细胞学异常或BARF突变,与临床医生进一步讨论表明,病变实际可还原,临床诊断为会阴疝。采用经典疝修补术并辅以闭孔内肌移位术修补缺损。切除组织进行组织病理学检查发现脂肪组织有明显的纤维增生、轻度间皮肥大,和多灶性新发淋巴滤泡形成,结果与包裹的腹膜脂肪组织一致,这些组织已经发生纤维化,最终诊断为会阴疝(图3)

讨论

我们报告了从犬的会阴疝中收集液体的细胞学结果,与腹膜渗出液相似,在细胞学评估时,会阴肿胀和腹腔之间的联系尚未确定。因此,具有细胞质内含物的大型非典型细胞与肿瘤有关。在与初诊医生进一步讨论后,病变被描述为可缩小,并优先考虑会阴疝。手术和组织病理证实了诊断。术后两年,患者没有尿路上皮、前列腺或其他上皮肿瘤复发或发展的证据,进一步支持非肿瘤病因。在这种情况下,非典型细胞被重新评估为反应性间皮细胞,这种细胞因难以与癌症和间皮瘤细胞区分而臭名昭著。反应性间皮细胞可能表现出核质比增加、细胞核大、核仁突出、细胞质嗜碱性颗粒增多、中度至显著的核大小不一和异形细胞增多和/或有丝分裂。尽管在这种情况下没有进行,但预计间皮细胞对泛细胞角蛋白、波形蛋白和结蛋白具有免疫阳性。
间皮细胞中的嗜酸性细胞质内含物类似于Melamed Wolinska小体(MWB)。MWB是一种非特异性退行性改变,很可能由粘多糖或增大的溶酶体组成,但与本例中观察到的包涵体不同,它是PAS阳性的。 MWB最常与尿路上皮来源的细胞有关,尽管在其他细胞类型(如乳腺癌、肺癌)中也发现了类似的内含物。在正常、退化、病毒感染和肿瘤上皮细胞群中可能观察到与MWB外观相似的细胞质内含物表明包裹体的成分为非多糖,与MWB不一致。这些内容的来源和组成仍然未知。
该病例显示了从会阴疝收集的液体和组织中的细胞学和组织病理学发现,并记录了间皮细胞中PAS阴性的嗜酸性细胞质内含物。该病例也提醒兽医,临床背景在非典型细胞的解释中至关重要,这可能需要细胞病理学家和初诊兽医之间的额外沟通。