
译者注:我们钩体疫苗接种率很低,急性肾衰竭也很常见,是不是顺带手的滥用抗生素,把这病都治好了。
核心内容,所有犬的急性肾衰竭都要考虑钩端螺旋体,建议在检测结果出来前,使用48小时的多西环素,5 mg/kg 一天两次口服,如果有消化道症状无法使用多西环素,可考虑静脉给与青霉素。
摘要
自从上一份关于犬类钩端螺旋体病共识声明发布以来,对钩端螺旋体分类学进行了修订,并取得了分型方法的进展,广泛使用了新的诊断试验和疫苗,并对该病的流行病学和病理生理学有了更好的理解。犬类钩端螺旋体病在犬中仍然普遍存在,包括来自城市地区的小型犬、仅11周大的幼犬、老年犬、农村地区的犬以及未充分接种钩端螺旋体病疫苗的犬(包括在某些地区接种了2价血清型钩端螺旋体疫苗的犬)。2021年,美国兽医内科学会(ACVIM)董事会投票批准将该主题作为修订版共识声明的内容。在确定核心专家后,由兽医学、人医学和公共卫生领域的6位专家组成的多学科团队采用Delphi方法对建议进行投票。草案在2023年ACVIM论坛上提交,并在ACVIM网站上发布供会员评论后再提交给《兽医内科学杂志》的编辑。这份修订后的文件为兽医从业者提供了关于犬和猫的疾病指导。每个建议附有12位投票成员(包括核心专家)的一致程度。分母小于12表示有≥1位专家弃权,可能是因为他们认为该建议超出了他们的专业范围,或者存在利益冲突。
缩略语
钩端螺旋体病是由螺旋体菌属(Leptospira)引起的,这是一种全球范围内感染各种哺乳动物和变温动物的人兽共患病细菌病原体[1-12]。致病性钩端螺旋体根据其外层脂多糖抗原可以分为300多个不同的血清型[13]。血清型被组织成抗原相关的血清群。然而,血清群的分类很混乱,因为同一血清型可以在多个不同的物种中发现,并且每个血清群通常包含相同名称的血清型(例如,Grippotyphosa血清型,Grippotyphosa血清群)。因此,已经开始根据DNA序列组成(序列类型[STs])对Leptospira菌株进行分类[13],[14]。根据序列信息,已知的68个Leptospira物种[15]被分为2个致病亚类,P1(致病菌1,致病性物种)和P2(致病菌2,中度致病性),以及2个腐生亚类,S1和S2[13]。P1亚类进一步分为“高毒力”和“低毒力”致病性物种。大多数犬类钩端螺旋体病是由P1高毒力物种,如Leptospira interrogans、Leptospira borgpetersenii和Leptospira kirschneri引起的,尽管偶尔P2物种也与犬类严重疾病有关[16]。
当粘膜或擦伤的皮肤暴露于从受感染宿主肾小管脱落的致病菌株时,就会发生钩端螺旋体属的感染。在世界范围内,最重要的宿主是啮齿类动物,尤其是褐家鼠,其全球感染率已确定为30%,某些地区的感染率超过80%。[17]其他野生动物和家畜物种在疾病流行病学中也很重要(LOA 12/12)。生物体污染土壤和水,在条件最佳的情况下,可以在环境中存活数周至数月。18生物膜的形成有助于螺旋体在环境中和宿主肾小管中的存活能力。[19,20]螺旋体可以在水饱和的土壤中复制,18这可能有助于生物体在环境中的积累。钩端螺旋体病在年降雨量较高、气候温暖的地区尤其普遍。在某种程度上,季节性钩端螺旋体病的发病率在地理上有所不同,这取决于当地的降雨模式和降低螺旋体生存能力的冰冻期。[8,21]然而,由于传播也发生在与宿主直接接触后,包括捕食、咬伤后,以及通过性病和胎盘转移,疾病可能发生在城市地区,以及一年中生物体在环境中生存不佳的时候。[8,22-25]后院家禽、堆肥或卫生条件差(如囤积)的存在会增加啮齿动物的数量,并增加家庭内外接触钩端螺旋体的风险。在与狗日托或犬舍环境相关的半干旱气候地区也发现了疫情,[26-28]可能是因为狗与狗或啮齿动物与狗的直接传播。无论动物特征、地理位置、生活方式和一年中的时间如何,所有狗都有感染钩端螺旋体病的风险(LOA 12/12)。
有广泛的血清学证据表明家猫感染了钩端螺旋体。但根据罕见的临床疾病报告,与其他动物物种相比,目前认为猫具有抗病性。[29,30]使用PCR和培养,在高达20%的明显健康猫的尿液中检测到致病性钩端螺旋,[31-34]因此猫可能是宿主。然而,世界各地的其他研究表明,即使在自由漫游的猫中,钩端螺旋体尿症的患病率也较低(0%至5%)。[35,36]在一些地区,猫可能是致病性钩端螺旋病毒的一个未被充分认识的来源,应在采用序列分型方法来提高疾病流行病学知识的One Health调查中予以考虑(LOA 11/11)。
由于目前使用的钩端螺旋体疫苗所诱导的免疫是血清群特异性的,因此了解在特定地理区域内通常导致疾病的血清群对于疫苗设计仍然非常重要。在2000年代中期,4价疫苗先在北美引入,然后在欧洲和南美洲也开始使用,从那时起,钩端螺旋体病主要在未接种疫苗的狗或只接种了2价疫苗的狗身上被发现。[6,37]尽管传统上认为狗是犬血清型的宿主,但通过发现其他血清型的狗患有慢性亚临床感染,检测到患有急性疾病的狗患有其他血清型,以及发现其他宿主物种,如啮齿动物、马和猪,是犬血清型菌株的来源,这一观点受到了挑战。此外,一个模型表明,即使在人类、啮齿动物和自由活动和饲养的狗群中存在适应狗的菌株,啮齿动物仍然是环境污染的主要来源。[40]鉴于这一观察结果,在获得更多证据之前,当确定或怀疑犬血清型是疾病的原因时,不应假设狗是宿主(LOA 12/12)。由于显微凝集试验(MAT)血清学鉴定的血清反应模式不能可靠地预测感染的血清群,[41]而且许多ST属于一个血清群,因此准确鉴定潜在感染源需要进行序列分型。例如,结合使用序列分型和血清分型来确定黑鼠是日本一只狗可能感染问号钩端螺旋体澳大利亚血清群的来源。[42]
由于接种当前钩端螺旋体疫苗诱导的免疫力是血清群特异性的,因此了解在特定地理区域内通常导致疾病的血清群对疫苗设计仍然很重要。2000年代中期,在北美以及随后在欧洲和南美洲引入了4价疫苗后,钩端螺旋体病主要在未接种疫苗的狗或接种了2价疫苗的狗身上被发现。尽管传统上狗被认为是犬血清型的宿主,在患有其他血清型的狗中鉴定慢性亚临床感染,在患有急性疾病的狗中检测犬血清型,以及鉴定其他宿主物种,如啮齿动物、马和猪,作为犬血清型菌株的来源,这一范式受到了挑战。[17,38,39]此外,1模型表明,即使人类、啮齿动物、流浪和游主任的狗中存在狗适应菌株,啮齿动物也是环境污染的主要来源。[40]鉴于这一观察结果,在获得更多证据之前,当犬血清型被确定或怀疑是疾病的病因时,不应认为狗是宿主(LOA 12/12)。由于显微镜凝集试验(MAT)血清学鉴定的血清反应性模式不能可靠地预测感染血清群,[41]并且许多ST属于一个血清群,因此准确鉴定潜在的感染源需要序列分型。例如,结合使用序列分型和血清分型来确定黑鼠是日本一只狗可能感染钩端螺旋体澳大利亚血清群的来源。[42]
致病性钩端螺旋体通过粘膜、皮肤损伤或浸渍的皮肤进入宿主后,进入血液并迅速扩散到全身。[43]在循环中,钩端螺旋体使用多种策略来逃避先天免疫识别和先天宿主防御和杀死机制。[44]利用螺旋运动,细螺旋体有效地侵入凝胶-液体边界处的宿主组织,例如血管壁[45],通过与血管内皮钙粘蛋白结合并削弱内皮细胞屏障,从血管空间移出。[46]内皮细胞屏障的破坏也可能导致狗和其他宿主物种发生钩端螺旋体肺出血综合征(LPHS)。[47-49] 近年来对钩端螺旋体病的分子发病机制进行了综述[46]虽然钩端螺旋体病最突出的表现是急性肾小管间质性肾炎和肝功能障碍,但这种疾病是多系统的,许多其他器官都受到影响 (表 [1]; LOA 11/11)[1,50] 感染菌株与疾病临床表现之间的关联尚未明确。[51]肾脏和肝脏的表现通常同时出现,但偶尔也会单独出现。[52] 肝功能障碍是由螺旋体破坏肝细胞间连接引起的,胆汁渗漏到循环中,在生化上反映为胆汁淤积性肝病。致病性钩端螺旋体对血小板具有直接的细胞毒性作用,在体外可观察到血小板破坏和去粘附。[53] 无菌性脑膜炎已在多达25%的患有钩端螺旋体病的人中描述出现[54],并且似乎也会在狗中发生。[55] 在没有明显的炎症细胞浸润或血管炎的情况下,LPHS肺组织的组织病理学病变以不同程度的肺泡内出血为特征。肺泡内水肿、纤维蛋白和透明质酸膜也可能存在,这些是弥漫性肺泡损伤疾病(如急性呼吸窘迫综合征)的特征,但并不是主要特征。[1]尽管对LPHS的致病机制了解甚少,但它很可能是多因素引起的,宿主和病原体相关因素都可能发挥作用。[56]
表1.狗钩端螺旋体病的临床表现。
| 受累器官 | 可能的临床症状 | 诊断性调查 |
|---|---|---|
| 急性肾损伤(肾小管间质性肾炎) | 呕吐、腹泻、脱水、嗜睡、食欲不振、多尿、多饮、少尿、无尿、腹痛 | 氮质血症、电解质异常、等渗尿、葡萄糖尿、蛋白尿、脓尿、管型尿、肾皮质高回声 |
| 胆汁淤积性肝病 | 呕吐、腹泻、脱水、嗜睡、食欲不振、黄疸 | 肝酶升高,高胆红素血症,低白蛋白血症 |
| 钩端螺旋体肺出血综合征 | 呼吸急促、咯血、呼吸音增加 | 贫血、低氧血症、弥漫性或斑块状间质到肺泡型 |
| 凝血障碍 | 瘀点、瘀斑、血尿、黑便、呕血、鼻衄 | A贫血、低白蛋白血症、血小板减少症、高纤维蛋白原血症 |
| 血管炎 | 外周水肿,轻度腹水,胸腔积液 | 胸腔积液、轻度腹水/腹膜后积液 |
| 胰腺炎 | 呕吐、腹泻、腹痛 | 高胆红素血症、肝酶活性增加、犬胰腺特异性脂肪酶活性增加、DGGR脂肪酶增加 |
| 眼部受累 | 葡萄膜炎、结膜炎、视网膜出血 | 眼底检查 |
| 心肌炎 | 心律失常 | 血清肌钙蛋白升高,心电图异常 |
| 肠炎 | 呕吐、腹泻、腹痛 | 肠壁增厚,肠套叠的证据 |
| 肌炎 | 不愿移动 | CK活性增加 |
| 生殖道 | 流产,不孕 | |
| 皮肤 | 皮肤钙质沉着症 |
一旦宿主产生获得性免疫反应,钩端螺旋体就会从血液中清除,但可能会以生物膜的形式存在于眼睛[57]或肾小管中。[19] 在狗中已经描述了肾小管间质性肾炎向肾纤维化的进展 [58]。钩端螺旋体感染与人类病因不明的急性间质性肾炎有关,这可能是病因不明的慢性肾脏疾病的前兆。[59] 在没有肾脏疾病的情况下,需要更多的证据来确认钩端螺旋体在狗慢性肝炎中的致病作用。(LOA 11/11)[60,61]
疾病的初始发热阶段通常是非特异性的。在出现器官功能紊乱的生化证据之前,一些狗可能会在这个阶段被兽医评估。受影响的狗可能因为非少尿性肾功能障碍、发热或这些症状的某种组合而表现出食欲不振、倦怠、呕吐、口渴增加和尿量增多。 由于钩端螺旋体病可以迅速发展为急性肾损伤(AKI),因此在狗出现急性发热疾病的情况下,尤其是未接种钩端螺旋体疫苗的狗,应考虑到可能是钩端螺旋体病。狗主人应被告知,如果狗的病情在24小时内没有改善,建议进行临床重新评估和生化测试。如果该地区钩端螺旋体病的发病率很高或者病史支持可能是钩端螺旋体病的可能性,应提供核酸扩增检测(NAAT)。(参见第 [3]节). 根据对人类的研究,[62,63] 可以考虑使用多西环素进行为期7天的经验性治疗,但需要更多的证据来支持后者的建议,以优化抗菌药物管理。(LOA 11/11)
在疾病的后续阶段观察到的临床病理改变反映了其多系统性质,包括直接器官损伤和继发性并发症,如吸入性肺炎、胰腺炎、肠道细菌易位或败血症。观察到的变化进一步受到出现时间、疾病严重程度和既往治疗的影响。
最常见的CBC检查结果包括中性粒细胞增多症(27%-94%)、杆状中性粒细胞增加症(3%-81%)、淋巴细胞减少症(2%-29%)、单核细胞增多病(29%-68%)、血小板减少症(14%-73%)和轻度至中度非再生性贫血(18%-92%)。[48,64-79] 罕见情况下,胃肠道或肺部出血后可能会出现严重贫血。[80]血清生化改变[48,64-68,71-79]反映器官功能障碍,并且可能根据报告病例的地理起源或出现时间而显示出不同的特征。急性肾损伤与血液尿素氮(54%-100%)、肌酐(55%-100%)和血磷(42%-100%)浓度升高相关。肝损伤表现为肝酶活性增加,主要是ALP增加(19%-94%),其次是ALT增加(22%-87%)和AST增加(28%-69%)。高胆红素血症 (15%-94%) 通常在没有肝衰竭的其他临床病理体征的情况下发生。在患有钩端螺旋体病的狗中经常观察到轻度至中度低白蛋白血症 (18%-88%)。在所有患有钩端螺旋体诱导的AKI的狗中,C反应蛋白适度增加,[72,77],但这与患有其他原因引起的AKI的狗没有区别。[72]电解质异常可能与胃肠或肾功能障碍有关,并可能因钩端螺旋体内毒素直接抑制肾小管Na^+^-K^+^-ATP酶而加重。[81] 常见的电解质异常包括高钾血症(12%-53%)、低钾血症(17%-41%)、低钠血症(12%-64%)和低氯血症(12%-46%)。[64,66,71-73,76,77] 在人类中,钩头螺旋体通常会诱发低钾血症,非少尿性AKI,并损害肾小管钠的重吸收,[82] 同样的情况也可能发生在狗身上。然而,患有少尿或无尿AKI的狗可能会遇到严重的高钾血症。在这些狗中,高钾血症通常是成功保守治疗的限制因素。钩端螺旋体病犬的44% 血清肌酸激酶活性增加,提示肌炎。[77]69%-94%的狗血清肌钙蛋白I浓度升高支持心肌损伤的存在。[77,83]其浓度与心律失常的频率相关,但与预后无关,并且与其他病因的AKI犬(83%)无差异,表明AKI的间接并发症而非钩端螺旋体病的直接器官表现。[83] 类似地,据报道,分别有40%-77%和19%-100%的钩端螺旋体病犬淀粉酶和脂肪酶活性增加。[66,73,77]这些非特异性的变化可能反映了胰腺炎、胃肠炎或肾功能减退。更具特异性的血清DGGR-脂肪酶活性(在29%的急性肾损伤狗中增高)似乎是急性肾损伤的特征,而不是钩端螺旋体病;在有和没有感染性急性肾损伤的狗之间没有差异。[84]
患有钩端螺旋体病的狗的尿液分析通常显示等渗尿,但也有报道显示低渗尿。[66,67, 77,79]肾性糖尿(18%-83%)和尿管型(8%-67%)是肾小管损伤的特异性指标。[48, 66,67,71,73-75,77,79] 大多数患有钩端螺旋体病的狗都报告了蛋白尿(28%-81%),其程度通常是轻度至中度(尿蛋白/肌酐比值[UPC] < 5),尽管也有报道UPC高达20。[48,77] 尿蛋白的十二烷基硫酸钠聚丙烯酰胺凝胶电泳结果表明,在患有钩端螺旋体病的狗中,蛋白尿的主要机制是低分子量蛋白质的肾小管重吸收障碍(肾小管性蛋白尿,100%),同时伴随着60%-90%的狗出现由于通透性选择性特征改变而导致的高分子量蛋白质的肾小球丢失(肾小球性蛋白尿)。[77, 85] 尿液分析中观察到的其他变化包括偶尔的轻度脓尿(0%-100%),血尿(17%-74%)和胆红素尿(20%)。使用常规光学显微镜通常无法在尿沉渣中看到钩端螺旋体,因为钩端螺旋体的宽度低于光学显微镜的分辨率,但在1只狗的尿沉渣中可见大量小而微弱染色的微生物。[86]
对患有钩端螺旋体病的犬进行凝血功能评估显示高达83%的狗存在凝血功能异常,并且6%-44%的狗出现了弥漫性血管内凝血。[48,73-75,77,87]除血小板减少外,最常见的异常为高纤维蛋白原血症(43%-75%)、低纤维蛋白原血症(20%)、凝血酶原时间延长(6%-33%)、活化部分凝血活酶时间延长(6%-83%)、抗凝血酶浓度低(94%)和D-二聚体浓度升高(39%-63%)。血栓弹性测量评估显示14只犬(40%)具有高凝状态,7只受影响的犬(20%)具有低凝状态。[87]
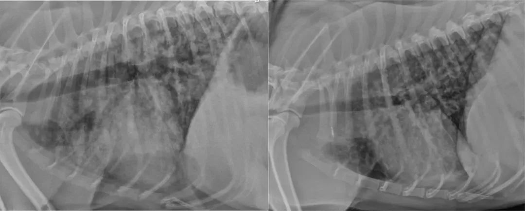
指示严重肺部型钩端螺旋体病出血(LPHS)的影像学改变通常在双侧尾背肺野发展为轻度间质型,发展为网状结节型,并发展为局灶性或全身性肺泡浸润(图[1])。[1,48,88,89]在出现可识别的呼吸障碍之前,可以在x光片上看到明显的异常。即使没有呼吸症状,建议对所有疑似患有钩端螺旋体病的狗进行胸部X线检查,因为与LPHS一致的X线结果可以帮助诊断钩端螺旋体病,并应提示谨慎的液体治疗和密切监测呼吸功能(LOA 10/10)。 重复进行胸部计算机断层扫描评估显示肺部病变随时间的推移呈高度动态变化,并且使用X线检查往往低估病变类型和严重程度。[90] 其他影像学改变包括液体超负荷引起的胸腔积液或与吸入性肺炎一致的大叶肺泡型。
图 1 钩端螺旋体肺出血综合征犬的侧位胸片显示弥漫性混合支气管间质——肺泡型(左)和小结节型(右)。根据急性和恢复期血清学检测,两只狗都被确认患有钩端螺旋体病。
腹部超声检查通常会发现与受影响的器官系统相关的异常。[71,91-93] 报告的肾脏变化包括肾肿大、皮质(有时是髓质)高回声、皮质髓质清晰度降低、轻度肾盂扩张、髓质高回声带和肾周积液。肝胆系统方面,肝脏肿大,呈弥漫性低回声,胆囊壁增厚。此外,还观察到腹膜积液、胰腺肿大和低回声、胃壁增厚,较少见的肠壁增厚、肠套叠,以及伴有斑驳回声纹理的脾肿大和腹部淋巴结肿大。
在评估任何患有急性肾损伤(AKI)的狗时,应考虑到钩端螺旋体病作为鉴别诊断,尤其是当伴有肝功能障碍或肺出血的证据时(参见病例定义)。虽然有报道称使用4价钩端螺旋体疫苗接种的狗也会患上钩端螺旋体病,[94]但在接种充分的狗中,应考虑其他更可能的鉴别诊断 (LOA 11/11). 在患有AKI的猫中,如果存在≥1个提示系统性感染的其他临床病理学发现,并且没有其他解释其临床症状的原因,应考虑到钩端螺旋体病(LOA 10/10)。
钩端螺旋体病的具体诊断是基于临床怀疑以及血清学检查和NAAT的结果。由于所有可用的诊断测试都有局限性,因此建议结合应用血清学测定和微生物检测测试来优化钩端螺旋体病的诊断(LOA 12/12)。
诊断钩端螺旋体病的参考标准检测仍然是使用微量凝集试验(MAT)进行急性和康复期血清学检测。向临床医生报告的列表中列出了已测试的血清型和50%的细菌在暗视场显微镜下凝集的血清滴度。兽医诊断实验室通常包括有限数量(6到7个)的血清型。相比之下,用于人类参考实验室的检测面板可能包括超过30个不同的血清型,并且有建议实验室应包括最近和当地流行的血清型。[95]包含大量血清型的检测方法更敏感,但执行起来更费时费力。钩端螺旋体病的潜伏期约为2到14天,在疾病的第一周,滴度为阴性或低,因为还没有足够的时间产生可检测的抗体。疾病早期的抗菌治疗可能会抑制抗体的产生。[95] 因此,犬中单次急性MAT滴度>1:800的敏感性估计仅为50%。[96,97] 相反,除非非常高(>1:3200),否则单一阳性MAT滴度缺乏特异性,并且在患病最初几天的高滴度应引起对近期既往疫苗接种、近期亚临床暴露或由钩端螺旋体属引起的较长疾病持续时间的怀疑,感染比主人认识到的要长。这种情况应该促使人们考虑疾病的其他原因。自然感染后滴度可持续至少1年,在1项研究中,通常在接种疫苗后4个月下降。[98] 如果持续暴露于田间菌株,则疫苗后滴度可以持续更长时间并维持在高水平 (≥ 1:1600),包括对非疫苗血清型的滴度[98]不建议根据单一阳性MAT测试结果诊断钩端螺旋体病,不应根据单一阴性测试排除钩端螺旋体病,尤其是当MAT包含有限数量的血清型时(例如,6至7种血清型; LOA 12/12)。尽管血清转化(滴度变化≥4倍)最早可能在狗被送至兽医处后3至5天发生,但建议急性期和恢复期样本之间间隔7至14天,以识别血清转化(LOA 12/ 12)。
血清学结果不应用于对感染血清型做出明确的结论,因为矛盾的血清学交叉反应性,特别是在病程早期,以及检测组中可能不存在感染血清型。[14,41,95,99] 不同实验室之间的微量凝集试验(MAT)结果的差异以及随着时间推移维持培养的挑战进一步复杂化了这个问题。建议在检测面板中包含更多的血清型,以增加检测的敏感性,而不是为了帮助鉴定感染的血清型。 为了促进 MAT 检测的质量保证,从业人员应将样本提交给参与国际钩端螺旋体病协会钩端螺旋体能力验证平台的实验室 (LOA 11/11)。[100]
基于侧向流动技术的现场血清学检测方法可用于快速检测犬体内对致病性钩端螺旋体的抗体。[101]来自不同地理区域的研究得出了这些检测在临床环境中的不同敏感性和特异性(表[2]),阳性和阴性预测值也将根据测试犬群中钩端螺旋体暴露的估计流行率而变化。与MAT一样,这些检测可能因为抗体产生的滞后而呈阴性,或者因为最近的亚临床暴露或疫苗接种而呈阳性。SNAP钩端螺旋体(IDEXX实验室公司,波特兰,缅因州)检测针对钩端螺旋体膜蛋白LipL32的抗体。[102] 当MAT滴度 ≥ 1:800时,观察到该测定与MAT之间的83.2% 一致性; 96% 特异性。[102] 与 MAT 类似,该检测可检测疫苗接种后 1 年内的疫苗抗体。[102]WITNESS Lepto Rapid Test(Zoetis,新泽西州Parsipanny)是一种现场检测方法,可检测到对L. kirschneri serovar Grippotyphosa和L. interrogans serovar Bratislava的全细胞提取物的IgM抗体。[103,104]在接种疫苗后12周,24%的接种狗检测到疫苗抗体。[104]迄今为止,对该试验的临床特异性的研究表明,在具有与钩端螺旋体病一致的体征的未接种狗中的阳性IgM结果强烈支持钩端螺旋体病的诊断(特异性>97%;表[2])。[104-106] 然而,由于这些测定的敏感性和特异性可能因地区而异,具体取决于流行菌株,因此需要在不同地理区域对钩端螺旋体病犬进行更多验证研究,然后才能推荐使用床旁抗体检测免疫测定法而不是 MAT 来诊断钩端螺旋体病。如果检测到抗体,建议使用 MAT 对抗体滴度进行定量,作为急性期和恢复期滴度评估的一部分,以记录最近的暴露情况。任何即时抗体检测结果呈阴性并不能排除钩端螺旋体病,应在 7 至 14 天后进行第二次抗体检测,以记录血清转化情况 (LOA 12/12)。
表2. 目前可用的现场免疫测定法检测抗钩端螺旋体抗体的临床敏感性和特异性。
| 地区 | 现场测试方法 | 敏感性 | 特异性 | 参考文献 |
|---|---|---|---|---|
| 美国东北部 | IDEXX SNAP Lepto | 15/22 (68%) | 111/131 (85%) | [107] |
| 德国 | Zoetis WITNESS | 28/37 (76%) | 59/60 (98.3%) | [104] |
| 意大利 | Zoetis WITNESS | 30/42 (71%) | 36/36 (100%) | [105] |
| IDEXX SNAP Lepto | 33/42 (79%) | 26/36 (72%) | ||
| 瑞士 | Zoetis WITNESS | 31/41 (76%) | 28/28 (100%) | [106] |
核酸扩增测试可以在疾病早期,在血清学反应发生之前,检测血液或尿液中的钩端螺旋体DNA。[108] 为了优化NAATs的敏感性,应在使用抗生素之前收集标本。此外,血液和尿液都应该提交(LOA 12/12)。在人类中,钩端螺旋体感染的血症期非常短暂。在使用血液评估时,一项检测方法在疾病的前6天具有86%的敏感性,而在疾病的第7天后降至34%。[109]在患有钩端螺旋体病的狗中,当应用于血液或尿液或两者时,不同 PCR 检测的灵敏度为 9/42 (21%)。[105]在另一项研究中,PCR对狗的血液和尿液的敏感性分别为25%和69%;两种样本类型的特异性均为100%。[110] 一些测定不检测P2种类。[108]阴性的尿液核酸扩增检测(NAAT)结果也可能是由于间歇性尿液排泄或存在核酸扩增抑制剂。肝素可能会干扰分子检测方法,因此应将血液收集到EDTA管中。DNA的稳定性可能会受到储存的不利影响;对于提交给疾病控制和预防中心(CDC)的样本,尿液标本应在4°C储存3天内进行测试,血液标本应在4°C储存14天内进行测试,尿液和血液样本应在-20°C储存28天内进行测试,并且最多可进行3次冻融循环。[111]一些国家提供了专门针对进行钩端螺旋体 PCR检测的实验室的熟练度测试计划。[112]只要实验室质控得当,血液中的阳性NAAT(核酸扩增技术)检测结果与一致的临床症状结合起来,可以诊断钩端螺旋体病(参见病例定义)。血液或尿液的阴性结果不应排除钩端螺旋体病。由于致病性钩端螺旋体的DNA可以在约20%的表面看似健康的狗的尿液中找到,必须将尿液中的阳性NAAT检测结果与临床症状以及其他诊断测试结果一起解读(LOA 12/12)。 接种灭活钩端螺旋体疫苗不应导致 PCR 检测结果呈阳性。[117]
其他微生物检测方法包括暗视场显微镜检查和培养。 暗视场显微镜检查和培养的敏感性较低,并且需要专业技术来进行正确解读,因此不建议作为常规诊断方法。尽管培养和血清分型可能对疫情调查中的预防策略提供有价值的信息,但并不推荐常规使用(LOA 12/12)。 培养需要接种特殊培养基,最好在现场进行,随后需要实验室专业知识来进行钩端螺旋体菌株的分离和鉴定。虽然培养的敏感性被认为较低,并且需要较长的孵育时间,但改进的培养基和患者侧培养基接种技术已经使得孵育时间缩短至24至72小时后产量增加。[118] 未来,选择性全基因组扩增等全基因组测序方法可能允许在疫情调查中进行诊断和序列分型,而无需培养。然而,在提供非血清型特异性免疫的疫苗问世之前,需要进行培养和血清分型来为疫苗选择提供信息。
由于钩端螺旋体病在实验室异常方面具有特征性模式,该疾病非常适合使用机器学习进行诊断。一种针对早期诊断钩端螺旋体病的算法,考虑了完整血细胞计数、血清生化学和尿液分析结果,在加利福尼亚大学戴维斯分校的医院人群中具有100%的敏感性和91%的特异性;当将患者入院时获得的MAT滴度纳入模型时,特异性增加至93%。鼓励努力改进这样的算法,以增强对钩端螺旋体病的早期识别能力。
以下临床和实验室标准已被制定为犬钩端螺旋体病的病例定义(基于CDC对人类钩端螺旋体病的病例定义[119])。一个可能的病例符合临床标准,并且具有≥1个支持性实验室标准。确诊病例符合临床标准,且实验室确诊标准≥1项(LOA 12/12)。
在过去2周内出现全身性疾病 (非特异性发热、嗜睡、多尿、烦渴、厌食或这些症状的某种组合),伴有或不伴有提示钩端螺旋体病的其他临床症状:
a. 胃肠道(呕吐、腹泻、腹痛) b. 肺部(呼吸急促、咳嗽、咯血) c. 眼部(葡萄膜炎、结膜炎、巩膜充血、点状视网膜出血) d. 临床怀疑 AKI(少尿/无尿) e. 黄疸 f. 出血(瘀斑、瘀点、鼻衄、血尿、黑便、吐血)
和
2. 以下两种或两种以上临床病理异常:
a. 中性粒细胞增多,伴或不伴左移 b. 血小板减少 c. 生化学证据表明肾损伤(例如,等渗尿伴随血清肌酐或对称二甲基精氨酸[SDMA]浓度增高或两者同时存在)。d. 胆汁淤积性肝病的生化证据 e. 胰腺炎的生化证据 (血清胰脂肪酶或DDGR-脂肪酶活性增加) f. CK活性增加 g. 尽管血糖正常,但仍有糖尿 h. 活性尿沉渣(脓尿或颗粒状管型) i. 影像学表现符合肺出血综合征 j. 腹部超声检查结果与钩端螺旋体病一致(结果支持胰腺炎、高回声肾皮质、肾周积液) k. 心电图记录的心律失常或血清肌钙蛋白浓度升高
诊断测试应该在符合临床标准的狗身上进行。尽管潜在接触史(捕食、接触其他动物物种或水源)会增加对钩端螺旋体病的怀疑,但所有狗都应被视为处于危险之中,无论基本特征、地理区域和生活方式如何。
确认性:
支持性:
犬钩端螺旋体病的治疗包括特定的抗菌治疗和对受影响的个体器官系统的护理,以实现修复、功能恢复和生存。根据器官损伤和功能障碍的程度,干预措施从简单的监测到支持性护理,在严重情况下,以临时器官置换(例如透析)作为恢复的桥梁。
基于该疾病的明显发病率和潜在致死率,以及人畜共患传播的风险,根据美国疾病控制与预防中心(CDC)对人类的建议,[120] 对于疑似或可疑患有钩端螺旋体病的狗,应使用适当的抗微生物药物进行治疗(LOA 12/12),尽管缺乏明确的证据表明对患者有明显的益处[121]。针对钩端螺旋体病的最佳抗微生物治疗方法尚不清楚。然而,最常见的策略是先使用静脉青霉素衍生物进行初始治疗以抑制细菌血症,然后使用口服多西环素以避免肾内持续感染,这是钩端螺旋体病在人类和狗类中的传统治疗方法。[1,50]最初以青霉素为基础的治疗的理由是钩端螺旋体病动物对口服多西环素的耐受性差,临床表现以胃肠道症状为主。其他具有抗钩端螺旋体活性的抗菌药物(在2010年共识声明中进行了综述)[1]在啮齿类动物模型中清除肾组织中的生物体方面效果较差,或者是一些国家保留的用于治疗人类耐药细菌感染的关键抗菌药物。根据这些数据,患有钩端螺旋体病的犬应该以每千克体重5毫克的剂量,每12小时口服多西环素治疗2周。治疗不应因等待钩端螺旋体病的诊断测试结果而延迟。抗菌治疗的最佳持续时间需要进一步研究。如果呕吐或其他不良反应导致不能使用多西环素,患有钩端螺旋体病的狗应首先使用氨苄西林(每千克体重20-30毫克,每6-8小时静脉注射),阿莫西林(每千克体重20-30毫克,每6-8小时静脉注射),或青霉素G(每千克体重25000-40000单位,每6-8小时静脉注射;LOA 11/11)。对于青霉素,专家建议在患有国际肾脏兴趣学会(IRIS)4级及以上的急性肾损伤(血清肌酐浓度>440微摩尔/升或>5毫克/分升)的狗,将给药间隔加倍(LOA 10/11 [1名评论者建议根据肾功能进行间隔调整,而不考虑急性肾损伤分级])。 [122]
如2010年共识声明中所描述的,针对钩端螺旋体病引起的器官功能障碍的治疗与其他病因的治疗一致,优先考虑适当的液体、电解质、酸碱平衡和血压管理,并使用抗恶心药物和胃黏膜保护剂来支持胃肠道紊乱。[1]对于选择性患者,早期和积极的营养支持、个体化的疼痛管理、补充氧疗、机械通气以及严重病例中的短期肾脏替代疗法是额外的治疗要求。需要注意避免医源性液体过负荷,这会加重器官功能障碍并导致额外的并发症。[123] 患有钩端螺旋体病的狗的肺部病变进一步限制了对医源性液体过量的耐受性。[89] 利尿药可能会增加急性肾损伤的尿液产量,但对于预防和治疗急性肾损伤来说是无效甚至有害的。[124]它们的使用应仅限于支持容量管理和增加少尿患者的钾排泄。患有非少尿性肾衰竭的狗可能会出现明显的多尿症;一些患者可能需要> 20 mL/kg/h的液体流量以防止血容量不足。在疾病的初始阶段,应每天至少监测两次血压,对适当的镇痛和容量校正无反应的持续性高血压应使用氨氯地平(0.25-0.75 mg/kg/d,口服)进行治疗。阿片类药物通常适用于疼痛控制;不建议使用非甾体抗炎药。肾脏疾病患者使用的饮食可能无法提供从钩端螺旋体病诱导的AKI中康复的动物所需的蛋白质,并且肾脏饮食的脂肪含量可能易患或加重并发胰腺炎。 虽然理想的食物组成尚未确定,但怀疑或确诊为钩端螺旋体病的狗应尽早采用高度易消化、蛋白质含量正常至较高的饮食,以提供足够的能量支持胃肠道恢复,并尽量减少分解代谢。(LOA 10/10) 使用鼻食管、食管或食管空肠喂养管可以在最小化并发症风险的同时,促进高效和早期的营养支持。
对于肝功能障碍的狗,可以考虑使用S-腺苷甲硫氨酸、水飞蓟素或维生素E来管理氧化损伤和炎症。然而,目前尚无关于这些药物在钩端螺旋体病患者中的试验报道,并且根据对该疾病发病机制的现有理解,胆汁排泄剂如熊去氧胆酸可能会有潜在的危害。 在推荐S-腺苷甲硫氨酸、水飞蓟素、维生素E或熊去氧胆酸等补充剂用于钩端螺旋体病的治疗之前,需要更多的证据支持(LOA 11/11)。
钩端螺旋体病犬止血障碍的治疗方法因凝血测试中每个患者凝血障碍的可疑主要机制而异。治疗可包括用输注新鲜冷冻血浆替代消耗的凝血因子,这可能需要血浆置换以预防血容量过多。在患有钩端螺旋体病的动物中,尤其是在存在肝病、尿毒性血小板病、胃肠溃疡、肺出血和全身性高血压的情况下,应考虑采取积极主动的治疗方法,因为出血并发症可能会迅速致命。使用去氨加压素促进血管性血友病因子从内皮细胞中释放已显示出对尿毒症血小板病患者有益,尽管它具有潜在的副作用,如低钠血症和动脉血栓栓塞事件。[125]在一项随机临床试验中,去甲利尿素和脉冲地塞米松治疗对于患有LPHS的人类并没有显示出益处。[126]
钩端螺旋体病是体外肾脏支持治疗(EKST)最常见的病因适应症之一,具有很高的成功可能性。[127]血液透析的适应症优先考虑解决高钾血症、严重氮质血症、液体失衡、代谢性酸中毒以及伴随进行性急性肾损伤的系统性并发症。在患有钩端螺旋体病的人群中,早期血液透析与增加存活率和缩短住院时间相关。[128] 推荐早期进行透析干预,以预防急性肾损伤的发病率,而不是作为常规治疗失败后的延迟救治措施。对于IRIS急性肾损伤4级的狗,当血清肌酐浓度超过5mg/dL时,应考虑早期转诊至提供体外肾脏支持治疗的中心。(440 μmol/L; LOA 11/11)。 体外肾脏支持治疗通过恢复液体、电解质和酸碱平衡,提供营养支持的机会,并在肾衰竭的关键阶段建立可接受的生活质量,延长了康复的时间窗口。很少需要超过1至2周的透析支持。一项对36只患有钩端螺旋体病的狗进行的研究报告,在先前保守医疗管理失败后接受体外肾脏支持治疗的严重急性肾损伤患狗中,超过80%的狗病情得到了恢复。[67]在患有钩端螺旋体病的狗中,间歇性血液透析和持续性血液透析平台都取得了成功的应用。[67,129]随着血液灌流盒在体外循环中的结合,细胞因子,甚至病原体或其产物都可能成为治疗靶点。[130]或者,通过持续流离心或膜过滤从循环血液中分离的血浆可以使用吸附技术进行处理,或者用来自健康供体的新鲜冷冻血浆替代(治疗性血浆置换),以调节动物对病原体的过度免疫反应。[131] 这种方法已成功应用于人类患者[132],在严重钩端螺旋体病的狗中也取得了有希望的结果。[133]
至少,在住院期间,应每24小时对患有急性钩端螺旋体病的狗进行血清生化检查,以监测肾功能、胆红素浓度、肝酶活性、血清蛋白浓度、C-反应蛋白以及电解质和酸碱状态。住院期间应考虑每24小时监测一次红细胞压积,每48小时监测一次全血细胞计数 (LOA 10/10). 可以使用闭式尿液收集系统来测量尿液产量,或者为了减少医院内尿路感染的风险,对无尿或尿量严重增多的狗进行频繁的体重监测(例如,每3小时一次)。应进行连续的体格检查,监测体重、血压、呼吸频率、肺音以及可能的胸部影像,以评估早期过度水合的迹象。最初,应每隔几小时监测或估计尿液输出量。相应地调整给予的液体量,以防止过度水合。如果诊所内没有足够的监测设备,建议转诊至24小时护理场所 (LOA 11/11)。对于需要尿道导管的犬,建议使用留置式导管而不是间歇式导管,以降低医护人员接触到有感染性的尿液的风险。一旦氮质血症得到缓解或稳定,并且患者能够保持水合和血管容量,静脉输液疗法应逐渐减少并停止。在疾病发作至少7天后,应考虑在出院前获得恢复期酶联免疫吸附试验(MAT)滴度,以增加后续检测的可能性。
犬在出院后最迟应在1周内进行复查,届时应进行完整血细胞计数、血清生化检查和尿比重测定。如果出院时未进行恢复期酶联免疫吸附试验(MAT)滴度检测,此时应考虑进行该检测。从重症急性肾损伤中康复的狗通常会表现出不同程度的永久性肾功能损失,并应根据其慢性肾脏病的IRIS分期进行适当的监测和管理。[134]
治疗通常与血清尿素、SDMA和肌酐浓度逐渐恢复到参考范围相关,通常需要10至14天。肾组织再生可能会持续数周至数月,残留损伤可能长期存在。血清胆红素浓度下降速度比血清ALT和ALP活性慢。抗菌治疗开始后,血小板计数通常在1周内改善。抗菌治疗开始后,C-反应蛋白浓度在4至10天内下降;建议对康复缓慢或存在并发症的动物进行连续监测。C-反应蛋白浓度恢复正常的延迟可能表明存在继发性炎症或感染并发症,并有必要进行额外的诊断测试进行重新评估。[72]
犬的负面预后因素包括高胆红素血症和凝血功能低下。[135] 人类的负面预后结果包括少尿、高胆红素血症和高血清肌酐浓度、呼吸系统并发症、低凝性和严重血小板减少症的组合;黄疸本身可能并不是一个负面的预后因子。[136,137] 在254只急性钩端螺旋体病狗中,血清胆红素浓度至少为10 μmol/L (0.6 mg/dL) 与死亡或安乐死密切相关(比值比[OR]为16.4;P <0.001)。[49] 尽管存在轻型病例可以通过抗菌治疗得到缓解,钩端螺旋体肺出血综合征与高达70%的死亡率相关[48,49]。随着治疗的进行,C-反应蛋白的正常化与疾病的良好临床进展相一致。[72]已经开发并验证了一种临床评分系统,用于评估使用EKST治疗的急性肾损伤狗的情况;较高的评分与较差的预后相关。[138,139] 对于使用EKST治疗的狗(而不是其他钩端螺旋体病的狗),该模型可以谨慎地用作治疗决策的工具。在开发的几个模型(A至D)中,Segev的模型C(使用19.9的临界值)证明了敏感性和特异性的最佳组合,正确预测了80%至87%的狗的存活结果 (表 [3]) 。[138-140]在这些研究中,21%-31%的狗被诊断为钩端螺旋体病。C模型包括一个针对钩端螺旋体病的权重因子(-8.47),这可以提高生存的可能性。该模型被应用于意大利的一组40只接受EKST治疗的急性肾损伤狗中,其中5只患有钩端螺旋体病。[140]在这项研究中,负面预后因素包括无尿、呼吸并发症、弥漫性血管内凝血、胰腺炎和急性肾损伤的IRIS分级。
表格3:针对使用血液透析治疗的急性肾损伤狗的预后预测模型,包括当钩端螺旋体病和乙二醇(EG)状态已知时的评分(C模型)。[139]
| 变量 | 范围 (得分)[a] | ||
|---|---|---|---|
| 体重 (kg) | >36 (+1.00) | 27.2-36.0 (+1.61) | ≤27.1 (+2.73) |
| 红细胞 (×10^6^ cells/μL) | >4.93 (+1.00) | 3.54-4.93 (+1.51) | ≤3.53 (+3.61) |
| 淋巴细胞计数 (cells/μL) | >1000 (+1.00) | 510-999 (+1.69) | ≤509 (+3.44) |
| 肌酐 (mg/dL) | ≤13.2 (+1.00) | >13.2 (+2.26) | |
| 磷 (mg/dL) | ≤18.2 (+1.00) | >18.2 (+3.13) | |
| 离子钙 (mmol/L) | >1.1 (+1.00) | 0.87-1.1 (+1.99) | <0.86 (+4.16) |
| 阴离子间隙 (mmol/L) | ≤18.2 (+1.00) | >18.2 (+2.74) | |
| 白蛋白 (g/dL) | >1.9 (+1.00) | ≤1.9 (>2.52) | |
| 丙氨酸氨基转移酶 (U/L) | <210 (+1.00) | ≥210 (−2.43) | |
| 产尿量 (mL/kg/h) | >1.31 (+1.00) | 0.1-1.31 (+1.44) | 0 (+5.55) |
| 呼吸系统受累 | No (+1.00) | Yes (+2.48) | |
| 神经系统受累 | No (+1.00) | Yes (+3.76) | |
| 弥散性血管内凝血 | No (+1.00) | Yes (+2.3) | |
| 病因(适用于已知钩端螺旋体病和乙二醇中毒状态的狗) | 不是钩端螺旋体病或乙二醇中毒 (+1.00) | 钩端螺旋体病 (−8.46) | 乙二醇中毒 (+2.3) |
目前,含有黄疸出血血清型(Icterohaemorrhagiae)、犬瘟热血清型(Canicola)、流感嗜血杆菌血清型(Grippotyphosa)和波莫纳血清型(Pomona)的疫苗可在北美用于预防犬钩端螺旋体病。含有黄疸出血血清型(Icterohaemorrhagiae)、犬瘟热血清型(Canicola)、流感嗜血杆菌血清型(Grippotyphosa)和澳大利亚血清型(Australis)的四价疫苗在欧洲有售。在包括北美、欧洲、南非和澳大利亚在内的许多地理位置,针对黄疸性出血(Icterohaemorrhagiae)或犬瘟热(Canicola)或两者的血清群的单价和二价疫苗仍然可用,但可能不足以预防在这些地区常见的血清型。三价疫苗也在一些地区可获得,如欧洲和南美洲。目前的疫苗可以预防由实验性攻毒引起的疾病,并减少疫苗血清型的排泄。最近对21种商业可获得的疫苗进行的实验试验的系统综述和荟萃分析发现,在狗中有超过80%的保护率,可以预防临床疾病和肾脏携带者状态(研究针对仓鼠、豚鼠和其他哺乳动物物种设计的狗用疫苗的研究被排除在外)。[37] 然而,试验通常涉及腹腔内使用高剂量的钩端螺旋体,这种情况并不模拟自然暴露。疫苗至少可以保护12个月,[141-143]几家制造商在适当使用后提供15个月的产品保证。目前可获得的细菌疫苗引发特定血清群的免疫,尽管一些研究中已经记录到对异源血清群的部分免疫。[1,144,145]已经有记录表明,接种了四血清群疫苗的狗出现了钩端螺旋体病[6,94],这与细菌疫苗的功效不足100%一致,但感染似乎不常见。然而,关于这类狗自然发生的钩端螺旋体病(临床或无症状排泄)的发病率的发表数据有限。这种情况可能部分与在接种完全疫苗的狗中明确诊断钩端螺旋体病的困难有关。
钩端螺旋体疫苗需要两次初始注射,间隔4周,可以在小狗12周龄或之后开始接种。钩端螺旋体疫苗与其他经母源途径给予的免疫具有类似的免疫学不良反应。[146,147]无论抗原来源如何,患者的品种和大小等因素都会影响疫苗相关不良事件的风险。大约20年前的研究表明,一些包括钩端螺旋体成分的狗疫苗含有高浓度的牛血清白蛋白,这可能是疫苗接种后基于IgE的不良事件的原因。[148]更近期的研究表明,与犬瘟热-细小病毒或狂犬病疫苗相比,钩端螺旋体疫苗的蛋白质含量、浓度和严重不良事件率并不更高。[147,149]从12周龄开始,每年应向所有狗接种疫苗,无论品种如何,因为钩端螺旋体病是一种人畜共患病,尽管治疗可能是严重的或致命的,并且无论年龄,地理或生活方式如何,都可能发生暴露。由于在收容所犬中已经记录了亚临床脱落,[113-115] 初始和加强疫苗接种,间隔3周,应在收容所犬中进行。由于与寄养或日托设施相关的疫情爆发已经发生,因此应要求对狗进行钩端螺旋体疫苗接种。[26-28] 在缺乏培养和血清分型信息来确定某个地区的犬只患病的血清型的情况下,应使用含有最广泛可用血清型的疫苗。当有多种疫苗类型可供选择时,不应使用MAT(微量凝集试验)为基础的血清调查结果来指导疫苗选择。没有发表的证据表明疫苗接种的季节时机很重要。(LOA 12/12)。
目前没有批准用于猫的钩端螺旋体疫苗,也不建议将狗用生物制品用于猫。
缺乏适当治疗后犬钩端螺旋体病复发的证据。然而,建议在钩端螺旋体病康复后尽快接种疫苗,因为(1)此类犬有持续暴露于相同或其他血清群的风险,以及(2)尚不清楚终身免疫是否源于自然感染(LOA 12/12)。 需要更多的研究来确定狗自然感染后特定血清型之间的真正免疫持续时间和交叉保护程度。
其他预防方法包括减少接触潜在感染源的机会,例如沼泽地区和积水,以及使用围栏和啮齿动物控制尽量减少与野生动物和家畜宿主的接触。
人类钩端螺旋体病通常是亚临床的或表现为流感样疾病,在 3 至 30 天的潜伏期后发生。[150]怀孕期间经胎盘感染可导致流产或死产。人类钩端螺旋体病最严重的表现是肝和肾衰竭(韦尔氏病)或LPHS。[150]读者可以参考CDC网站了解更多关于人类疾病的信息。[151]
全球范围内,人类的钩端螺旋体病在湿度高、降雨多和洪水频发的地区最为普遍[150]。在全球范围内,啮齿动物是感染的主要来源,尽管接触其他野生动物物种和生产动物宿主排泄的螺旋体也对人类的疾病有所贡献。流浪狗可能是人类感染的一个传染源[152],然而当流浪狗和啮齿动物共存时,分离株可能在啮齿动物和狗之间共享,其中啮齿动物是感染人类的主要来源[40]。与野生和宠物啮齿动物的接触也导致了人类的疾病[153-155]。
在发达国家,大多数接触是因为涉及水的娱乐活动,或可能接触生产动物宿主、野生动物或受污染水源的职业。[150]无家可归者增加导致的啮齿动物接触增加,例如在COVID-19大流行或与气候变化相关的洪水之后,有可能对发达国家的人类钩端螺旋体病的出现做出贡献。[156] 与往年相比,2021 年纽约市人类钩端螺旋体病病例数有所增加,这被认为是 SARS-CoV-2 大流行期间啮齿动物控制力度减弱的结果。[157]
很少有报道称患有钩端螺旋体病的动物(即偶发宿主)向其他动物传播。[158]少数报道表明,[159-162]从宠物狗传播致病性钩端螺旋体到人类的情况并未得到分子方法的证实,尽管最近确实有报道称患病的狗向家庭中的一个儿童传播,这很可能是由于接触了被污染的尿液。[163]
虽然致病性钩端螺旋体从患有钩端螺旋体病的犬向人类的人畜共患传播的可能性存在,但这种传播的风险似乎很低,特别是在采取基本预防措施的情况下 (LOA 12/12)。 在疾控中心的一项调查中,在亚利桑那州狗群中爆发的钩端螺旋体病没有发现任何动物传播的证据,尽管人类具有高风险暴露。[164]对兽医、兽医学生和处理可能感染钩端螺旋体的野生动物的康复工作者进行的血清调查发现,兽医和兽医学生中没有血清反应,只有213名康复工作者中的2人呈阳性,滴度为1:200,仅对一种血清型产生反应。[165-167]
在小动物诊所中,当兽医人员对出现一致临床症状的狗犬怀疑钩端螺旋体病时,并采取适当的处理预防措施,可以将钩端螺旋体的人兽共患传播风险降到最低。据传闻,使用核酸扩增技术(NAATs)在接受青霉素或多西环素治疗的狗犬的尿液中很难检测到钩端螺旋体,因此适当的抗菌治疗也应该降低人兽共患传播的可能性。同时,检测到接受抗菌药物治疗的动物中的阳性聚合酶链式反应(PCR)结果也可能代表无活性的微生物。所有患有 AKI 的狗都应怀疑患有钩端螺旋体病,直到做出替代诊断,或者如果没有做出其他诊断,则直到进行 48 小时适当的抗菌治疗为止。然而,考虑到明显健康的狗可以排出致病性钩端螺旋体,[114]建议无论是否有疾病,都要采取标准的卫生预防措施,以减少兽医诊所环境中人畜共患病原体的传播。这些预防措施由国家州公共卫生兽医协会定义[169](LOA 12/12)。
在治疗的最初48小时内,应尽量减少可疑或已确认病例在医院内的移动,并及时对接触区域进行消毒。应在笼子上贴上警示标签,并且孕妇应避免接触这些患病动物。由于钩端螺旋体在狗之间(以及狗与人之间)不容易传播,因此不需要将其住院隔离。住院隔离可能会对许多患有钩端螺旋体病的重症狗的护理水平产生负面影响 (LOA 10/10)。 如果可能的话,患者应被安置在底层的笼子中,并远离高流量区域。应注意避免针刺伤。如果尿液可能产生气溶胶化,则应戴手套、防水一次性长袍和全面保护(例如使用面罩)。应避免使用高压水洗涤犬舍。如果没有放置尿道导管,应频繁遛狗,以确保狗不在医院内排尿。患者应被带到一个有限制的区域排尿,最好是一个没有湿气或水积聚、有良好排水和紫外线照射的区域。尿液溢出后应立即清洁和消毒。在脱掉手套之前和之后处理每个患者时应进行手部卫生,并且每天清洁和消毒笼子。常规清洗寝具可以使钩端螺旋体失活,但处理脏污寝具的人员应穿戴防护服。一次性寝具应放置在生物危险袋中,并进行适当处理。
尽管所有常规医院消毒剂对钩端螺旋体都有活性,但收集容器中的大量尿液可以通过与10%漂白剂(5000 ppm次氯酸钠)进行1:1稀释来失活,使用当天新鲜制备。对于携带尿道导管的狗,应在处理(从患者身上取下后)之前直接向收集袋中注入消毒剂。
所有可能直接或间接接触到疑似患有钩端螺旋体病的狗的人员都应被告知相关风险。这些人员包括放射学人员和处理来自患者的血液、尿液或组织标本的实验室人员。如果对钩端螺旋体病的公共卫生风险和人畜共患传播有进一步的问题或者发生暴露,可以联系当地公共卫生机构或疾病控制中心(CDC)寻求指导。有关医护人员钩端螺旋体病的更多信息可在CDC的网页上找到。[170]
由于钩端螺旋体尿常在感染后7到10天才开始出现,因此在疾病的最初几天(在寻求兽医护理之前),狗可能不会成为临床相关的人畜共患感染源。治疗后返回家庭环境的狗对家庭成员的风险也较低。然而,在完成48小时的多西环素治疗之前,主人应避免接触狗的尿液,并在清洁尿液时戴上手套和护眼器。兽医应教育受影响动物的动物主人关于钩端螺旋体病的人畜共患病风险,如果他们对人类的疾病有疑问,建议他们联系他们的医生(LOA 12/12)。 应告知主人,他们的狗可能通过与啮齿动物、野生动物或农场动物持续直接或间接接触而感染钩端螺旋体病,并且他们也可能面临来自此类来源的风险。主人可以访问 CDC 关于宠物钩端螺旋体病的网页,了解更多信息。[171] 建议对宠物狗进行常规疫苗接种,以减少疾病的人畜共患传播风险,无论是通过直接还是间接传播。[40]
据记录,一些与患有钩端螺旋体病的狗生活在同一家庭的狗会出现亚临床血清转化,这可能是由于共同接触所致。由于钩端螺旋体病的人畜共患潜力,经过风险评估后,医生应考虑对可能偶然接触的家庭中其他狗进行预防性治疗,最好监测急性和康复期抗体滴度。 (LOA 12/12). 推荐的治疗方法是多西环素,5 mg/kg,每12小时口服一次,持续14天。在常规建议对暴露情况下的其他明显健康的动物(如猫)进行预防性治疗之前,还需要更多的证据,但鼓励采用“一个健康”的方法进行疫情调查(LOA 12/12)。如果这些暴露的宠物发生尿液排毒,其程度需要进一步研究。