来源:宠壹堂VET
01【定义】
犬猫子宫残端积液是绝育术后子宫残留部分的液体积聚。
02【病因】 (1)导致子宫残端积液的主要原因包括: ① 残留卵巢组织综合征:这是最常见的原因。在绝育手术中,如果有一小片卵巢组织没有被完全切除并残留在体内,这片组织会继续分泌激素(主要是雌激素和孕激素)。在这些激素的刺激下,子宫残端会像完整的子宫一样做出反应,导致内膜增生和腺体分泌,从而积液。 ② 子宫残端处理不当: ·残端过长:手术时留下的子宫残端过长,过长的组织更容易发生积液和感染。 ·残端血供不良:缝合技术问题导致残端局部缺血、坏死,继而引发炎症和积液。 ·缝合不当:残端闭合不严,可能导致腹腔液体的渗入或细菌的侵入。 ·感染:手术中或术后发生感染,细菌侵入子宫残端,引起子宫残端蓄脓。这是一种更严重的情况,积液变为脓液。 ·内膜炎:残端本身发生了慢性炎症。
03【临床症状】 症状可能非常隐匿,也可能非常明显,取决于积液的严重程度和是否发生感染。 (1)非感染性积液(早期/轻度): 可能没有任何明显症状。 部分动物会表现出间歇性的精神沉郁、食欲不振。 有时会出现反复的泌尿系统感染症状(因为肿胀的残端可能压迫膀胱或尿道)。 (2)感染性积液/子宫残端蓄脓(严重): ① 全身性症状:发烧、嗜睡、厌食、呕吐。 ② 多饮多尿:这是蓄脓症的典型症状之一。 ③ 腹部膨大或疼痛:积液严重时,腹部可能会膨大,触摸腹部时动物会因疼痛而抗拒。 ④ 阴道分泌物:非常重要的一点!即使切除了子宫和卵巢,如果存在残留卵巢组织,动物可能依然会出现发情行为,甚至从尿道口流出脓性分泌物。这是因为残留的卵巢激素刺激了残端和剩余的生殖道。
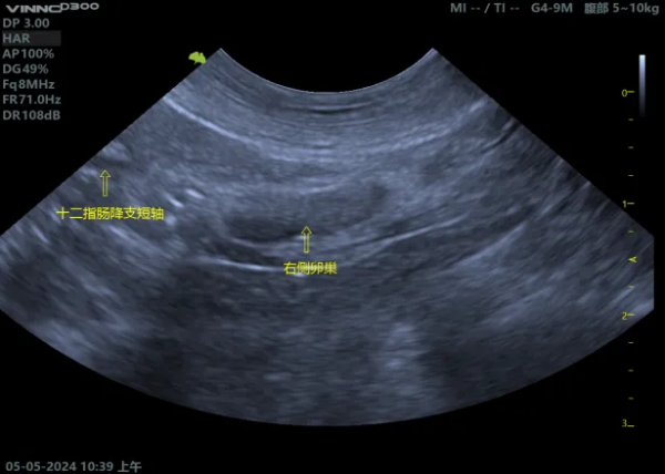
04【超声下表现】 (1)正常子宫影像 (2)子宫残端积液影像 (图片来源:Mattoon, J. S., Sellon, R. K., & Berry, C. R. (2020). Small animal diagnostic ultrasound (4th ed.). Elsevier Saunders.)


05【诊断】 (1)病史:有绝育手术史,之后出现上述症状。 (2)体格检查:腹部触诊可能摸到腹内的团块。 (3)影像学检查: ① 超声:这是首选的、最具诊断价值的方法。可以清晰地看到膀胱附近有一个充满液体的囊状结构(子宫残端),并能评估其大小、壁的厚度和内容物性质。 ② X光:如果积液量很大,可能在X光下看到一个软组织密度的团块影,但不如B超直观。 (4)血液检查: ① 血常规:如果发生感染/蓄脓,白细胞会显著升高。 ② 激素水平检测:检测血清中的孕激素或抗穆勒氏管激素(AMH)水平,可以确认是否存在有功能的卵巢组织残留(即OSS)。这是诊断OSS的金标准。 ③ 阴道细胞学检查:如果有阴道分泌物,可以检查分泌物中的细胞类型,判断是否存在感染和激素影响。
06【治疗】 手术治疗是唯一可靠且根治的方法。
07【预后】 及时手术预后良好。
08【参考文献】 Mattoon, J. S., Sellon, R. K., & Berry, C. R. (2020). Small animal diagnostic ultrasound (4th ed.). Elsevier Saunders. Ettinger, S. J., Feldman, E. C., & Côté, E. (Eds.). (2017). Textbook of veterinary internal medicine: Diseases of the dog and the cat (8th ed.). Elsevier. Feldman, E. C., & Nelson, R. W. (2004). Canine and Feline Endocrinology and Reproduction (3rd ed.). Saunders. Johnston, S. D., Root Kustritz, M. V., & Olson, P. N. S. (2001). Canine and Feline Theriogenology. Saunders. Davidson, A. P., & Baker, T. W. (2009). Ovarian remnant syndrome in dogs and cats: 46 cases (1985–2005). Journal of Veterinary Internal Medicine, 23(5), 955–959. Miller, D. M. (2012). Ovarian remnant syndrome in dogs and cats. Compendium on Continuing Education for the Practicing Veterinist, 34(3), E1-E5. Root Kustritz, M. V. (2012). Management of the reproductive tract in the bitch and queen. In Small Animal Surgery (4th ed., pp. 762-776). Elsevier.